JavaScript is disabled in your browser. Please enable JavaScript to view this website.

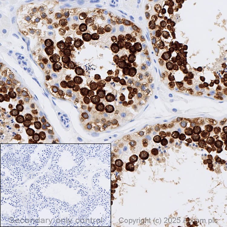
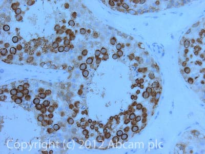
Anti-DDX4 / MVH antibody [mAbcam27591] - BSA and Azide free(AB180462)

$undefined

Anti-DDX4 / MVH antibody [mAbcam27591] - BSA and Azide free(AB180462)

Anti-DDX4 / MVH antibody [mAbcam27591] - BSA and Azide free(AB180462)

Anti-DDX4 / MVH antibody [mAbcam27591] - BSA and Azide free(AB180462)

Anti-DDX4 / MVH antibody [mAbcam27591] - BSA and Azide free(AB180462)

Mouse Recombinant Monoclonal DDX4 / MVH antibody. Carrier free. Suitable for WB, ICC/IF, IHC-Fr, IHC-P and reacts with Mouse, Common marmoset, Human samples.
Specifications
Shipped At Conditions Blue Ice
Appropriate Long term Storage Conditions Store at +4°C.
Clonality Monoclonal
Applications Common marmoset, Human, Mouse, Rat
Species Reactivity ICC/IF, IHC-Fr, IHC-P, WB
Isotype IgG1