JavaScript is disabled in your browser. Please enable JavaScript to view this website.

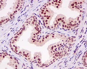
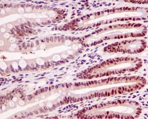
Anti-MLF2 antibody [EPR10245(2)] - C-terminal(AB180184)

$undefined

Anti-MLF2 antibody [EPR10245(2)] - C-terminal(AB180184)

Anti-MLF2 antibody [EPR10245(2)] - C-terminal(AB180184)

Anti-MLF2 antibody [EPR10245(2)] - C-terminal(AB180184)

Anti-MLF2 antibody [EPR10245(2)] - C-terminal(AB180184)

Rabbit Recombinant Monoclonal MLF2 antibody. C-terminal. Suitable for IHC-P, WB, Flow Cyt (Intra) and reacts with Human samples. Cited in 1 publication.
Specifications
Shipped At Conditions Blue Ice
Appropriate Long term Storage Conditions Store at -20°C.
Clonality Monoclonal
Applications Flow Cyt (Intra), ICC/IF, IHC-P, IP, WB
Species Reactivity Human
Isotype IgG