JavaScript is disabled in your browser. Please enable JavaScript to view this website.

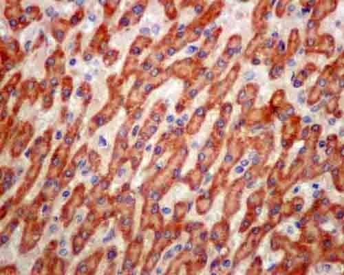
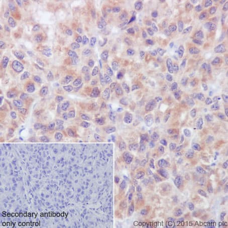
Anti-ATP5G1/G2/G3 antibody [EPR13908](AB180149)

$undefined

Anti-ATP5G1/G2/G3 antibody [EPR13908](AB180149)

Anti-ATP5G1/G2/G3 antibody [EPR13908](AB180149)

Anti-ATP5G1/G2/G3 antibody [EPR13908](AB180149)

Anti-ATP5G1/G2/G3 antibody [EPR13908](AB180149)

Anti-ATP5G1/G2/G3 antibody [EPR13908](AB180149)

Anti-ATP5G1/G2/G3 antibody [EPR13908](AB180149)

Rabbit Recombinant Monoclonal ATP synthase C antibody. Suitable for WB, IHC-P and reacts with Mouse, Rat, Human samples. Cited in 11 publications.
Specifications
Shipped At Conditions Blue Ice
Appropriate Long term Storage Conditions Store at -20°C.
Clonality Monoclonal
Applications IHC-P, IP, WB
Species Reactivity Human, Mouse, Rat
Isotype IgG