JavaScript is disabled in your browser. Please enable JavaScript to view this website.

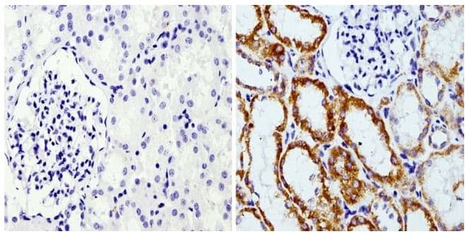
Anti-RAP1A antibody [1D2-1C64](AB175329)

$undefined

Anti-RAP1A antibody [1D2-1C64](AB175329)

Anti-RAP1A antibody [1D2-1C64](AB175329)

Anti-RAP1A antibody [1D2-1C64](AB175329)

Anti-RAP1A antibody [1D2-1C64](AB175329)

Anti-RAP1A antibody [1D2-1C64](AB175329)

Mouse Monoclonal RAP1A antibody. Suitable for IP, WB, IHC-P, ICC/IF and reacts with Mouse, Human samples. Cited in 6 publications. Immunogen corresponding to Recombinant Full Length Protein corresponding to Human Ras-related protein Rap-1A.
Specifications
Shipped At Conditions Blue Ice
Appropriate Long term Storage Conditions Store at -20°C.
Clonality Monoclonal
Applications ICC/IF, IHC-P, IP, WB
Species Reactivity Human, Mouse
Isotype IgG2a