JavaScript is disabled in your browser. Please enable JavaScript to view this website.

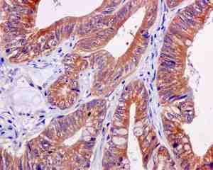
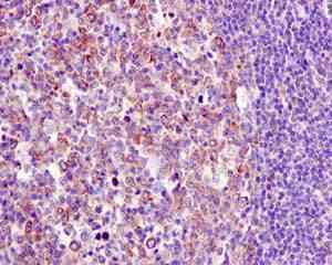
Anti-GART antibody [EPR11622](AB169550)

$undefined

Anti-GART antibody [EPR11622](AB169550)

Anti-GART antibody [EPR11622](AB169550)

Anti-GART antibody [EPR11622](AB169550)

Anti-GART antibody [EPR11622](AB169550)

Anti-GART antibody [EPR11622](AB169550)

Anti-GART antibody [EPR11622](AB169550)

Rabbit Recombinant Monoclonal GART antibody. Suitable for IHC-P, WB, ICC/IF and reacts with Human samples. Cited in 4 publications.
Specifications
Shipped At Conditions Blue Ice
Appropriate Long term Storage Conditions Store at -20°C.
Clonality Monoclonal
Applications Flow Cyt, ICC/IF, IHC-P, WB
Species Reactivity Human
Isotype IgG