Immunohistochemistry (Formalin/PFA-fixed paraffin-embedded sections) - Anti-Ki67 antibody [SP6] (ab16667)
Immunohistochemical analysis of formalin-fixed, paraffin-embedded human tonsil sections labeling Ki67 with ab16667 at 1/200 (0.156 μg/mL).
Image A:
Secondary antibody is a ready to use Goat Anti-Rabbit IgG H&L (HRP polymer)
Human tonsil tissue incubated with ab16667 overnight at +4°C.
Heat mediated antigen retrieval using ab93678 (citrate buffer, pH 6.0).
Nuclear staining on human tonsil. The section was incubated with ab16667 overnight at +4°C.
Image B:
Secondary antibody is a ready to use LeicaDS9800 (Bond™ Polymer Refine Detection)
Human tonsil tissue incubated with ab16667 on a Leica Biosystems BOND® RX instrument.
Heat mediated antigen retrieval with Citrate buffer (pH 6.0, epitope retrieval solution2) for 20 mins.

Immunocytochemistry/ Immunofluorescence - Anti-Ki67 antibody [SP6] (ab16667)
ab16667 staining Ki67 in wild-type HAP1 cells (top panel) and Ki67 knockout HAP1 cells (bottom panel). The cells were fixed with 100% methanol for 5 minutes, permeabilized with 0.1% Triton X-100 for 5 minutes and then blocked with 1% BSA/10% normal goat serum/0.3M glycine in 0.1% PBS-Tween for 1 hour. The cells were then incubated with ab16667 at 1/250 dilution and ab195889 at 1/250 dilution (shown in pseudo colour red) overnight at +4°C, followed by a further incubation at room temperature for 1 hour with Goat Anti-Rabbit IgG H&L (Alexa Fluor® 488) preadsorbed (ab150081) secondary antibody at 2 μg/ml (shown in green). Nuclear DNA was labelled in blue with DAPI.
This image was generated from the hybridoma version.

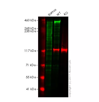
Western blot - Anti-Ki67 antibody [SP6] (ab16667)
Lanes 1 - 3: Merged signal (red and green). Green - ab16667 observed at 359 kDa. Red - loading control, ab130007 observed at 125 kDa.
ab16667 was shown to react with Ki67 in wild-type HeLa cells. Loss of signal was observed when knockout cell line ab255407 (knockout cell lysate ab263762) was used. Wild-type and Ki67 knockout samples were subjected to SDS-PAGE. ab16667 and Anti-Vinculin antibody [VIN-54] (ab130007) were incubated overnight at 4°C at 1 in 100 dilution and 1 in 20000 dilution respectively. Blots were developed with Goat anti-Rabbit IgG H&L (IRDye® 800CW) preadsorbed (ab216773) and Goat anti-Mouse IgG H&L (IRDye® 680RD) preadsorbed (ab216776) secondary antibodies at 1 in 20000 dilution for 1 hour at room temperature before imaging.
Lanes 1 - 3: Western blot - Anti-Ki67 antibody [SP6] (ab16667) at 1/100 dilution
Lanes 1 - 3: Western blot - Anti-Ki67 antibody [SP6] - BSA free (ab231172) at 1/100 dilution
Lanes 1 - 3: Western blot - Anti-Ki67 antibody [SP6], prediluted (ab21700) at 1/100 dilution
Lane 1: Ramos cell lysate at 20 µg
Lane 2: Wild-type HeLa cell lysate at 20 µg
Lane 3: MKI67 knockout HeLa cell lysate at 20 µg
Secondary
All lanes: Western blot - Goat anti-Rabbit IgG H&L (IRDye® 800CW) preadsorbed (ab216773) at 1/20000 dilution
Performed under reducing conditions.
Predicted band size: 358 kDa
Observed band size: 124 kDa, 359 kDa
![Western blot with anti-Ki67 antibody [SP6] (ab16667) at 1/100. Lanes 1-3: Ki67 (green) at 359 kDa, loading control (red) at 125 kDa](./media_189230e45ee2be360d5c55f873f2f3b08bcf4425b.avif?width=750&format=avif&optimize=medium)
Immunohistochemistry (Formalin/PFA-fixed paraffin-embedded sections) - Anti-Ki67 antibody [SP6] (ab16667)
IHC image of ab16667 staining Ki67 in a section of formalin-fixed paraffin-embedded Rat spleen tissue. The section was pre-treated using heat mediated antigen retrieval with (citrate buffer, pH 6.0). The section was then incubated with ab16667, 1/200 (0.156 μg/mL) dilution and detected using ready to use Goat Anti-Rabbit IgG H&L (HRP) antibody. Nuclear staining on rat spleen. The section was incubated with ab16667 overnight at +4°C. DAB was used as the chromogen. The section was then counterstained with haematoxylin.

Immunohistochemistry (Formalin/PFA-fixed paraffin-embedded sections) - Anti-Ki67 antibody [SP6] (ab16667)
IHC image of ab16667 staining Ki67 in a section of formalin-fixed paraffin-embedded Human tonsil tissue. The section was pre-treated using heat mediated antigen retrieval with ab93678 (citrate buffer, pH 6.0). The section was then incubated with ab16667, 1/200 (0.156 μg/ml) dilution and detected using ready to use Goat Anti-Rabbit IgG H&L (HRP) antibody. Nuclear staining on human tonsil is observed. The section was incubated with ab16667 overnight at +4°C. DAB was used as the chromogen. The section was then counterstained with haematoxylin.

Multiplex immunohistochemistry - Anti-Ki67 antibody [SP6] (ab16667)
Fluorescence multiplex immunohistochemical analysis of normal human tonsil tissue (formalin-fixed paraffin-embedded section).
Merged staining of anti-PD1 (ab237728; orange; Opal™520), anti-PDL1 (ab237726; green; Opal™540), anti-CD68 (ab192847; yellow; Opal™570), anti-CD3 epsilon (ab16669; red; Opal™620), anti-Ki67 (ab16667; light blue; Opal™650) and anti-PanCK (ab7753; grey; Opal™690).
The immunostaining was performed on a Leica Biosystems BOND® RX instrument with an Opal™ 7-color automation IHC kit (NEL821001KT, Akoya Biosciences®).
The section was incubated in six rounds of staining; in the order of ab237728 (1/500 dilution), ab237726 (1/500 dilution), ab192847 (1/300 dilution), ab16669 (1/300 dilution), ab16667 (1/200 dilution) and ab7753 (1/200 dilution); each using a separate fluorescent tyramide signal amplification system.
Sodium citrate antigen retrieval (Leica ER1, pH6.0, 30 minutes) was used in between rounds of tyramide signal amplification to remove the antibody from the previous round, to avoid any cross-reactivity.
DAPI (dark blue) was used as a nuclear counter stain.
Microscopy and pseudocoloring of individual Opal™ dyes was performed using a Vectra Polaris.
This image was generated from the hybridoma version
