Immunohistochemistry (Formalin/PFA-fixed paraffin-embedded sections) - Anti-Estrogen Receptor alpha antibody [SP1] (ab16660)
Immunohistochemical analysis of tamoxifen resistant MCF7 xenograft tumours staining estrogen receptor alpha with ab16660. The mice used were treated with a vehicle, tamoxifen (120mg/kg/day p.o) or GDC-0810 (100mg/kg/day p.o.) for 27 days.
This image was generated using the hybridoma version of the product.
Image courtesy of Joseph J D et al. eLife 2016;5:e15828 doi: 10.7554/eLife.15828

Immunocytochemistry/ Immunofluorescence - Anti-Estrogen Receptor alpha antibody [SP1] (ab16660)
ab16660 staining Estrogen Receptor alpha in MCF7 cells. The cells were fixed with 4% formaldehyde (10min), permeabilized with 0.1% Triton X-100 for 5 minutes and then blocked with 1% BSA/10% normal goat serum/0.3M glycine in 0.1% PBS-Tween for 1h. The cells were then incubated overnight at +4°C with ab16660 at 1/250 dilution (shown in green) and ab195889, Mouse monoclonal [DM1A] to alpha Tubulin (Alexa Fluor® 594), at 2μg/ml (shown in red). Nuclear DNA was labelled with DAPI (shown in blue).
Image was taken with a confocal microscope (Leica-Microsystems, TCS SP8).
This image was generated using the hybridoma version of the product.

Western blot - Anti-Estrogen Receptor alpha antibody [SP1] (ab16660)
This image was generated using the hybridoma version of the product.
All lanes: Western blot - Anti-Estrogen Receptor alpha antibody [SP1] (ab16660) at 1/25 dilution
All lanes: lysate prepared from MCF7 cells
Predicted band size: 66 kDa
![Western blot of anti-Estrogen receptor alpha antibody [SP1] (ab16660) at 1/25 dilution on MCF7 cells.](./media_18cbfe9603b6352e756b04480b6494b43c570082f.avif?width=750&format=avif&optimize=medium)
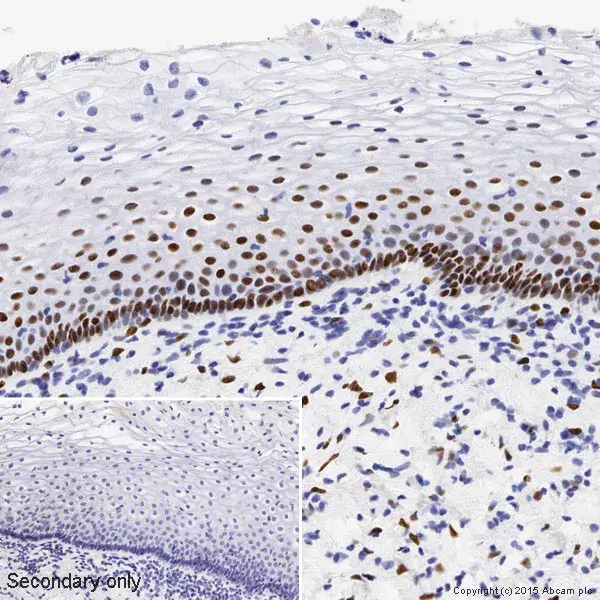
Immunohistochemistry (Formalin/PFA-fixed paraffin-embedded sections) - Anti-Estrogen Receptor alpha antibody [SP1] (ab16660)
IHC image of ab16660 staining Estrogen Receptor alpha in normal human cervix formalin-fixed paraffin-embedded tissue sections*, performed on a Leica Bond. The section was pre-treated using heat mediated antigen retrieval with sodium citrate buffer (pH6, epitope retrieval solution 1) for 20 mins. The section was then incubated with ab16660, 1/250 dilution, for 15 mins at room temperature and detected using an HRP conjugated compact polymer system. DAB was used as the chromogen. The section was then counterstained with haematoxylin and mounted with DPX. No primary antibody was used in the negative control (shown on the inset).
This image was generated using the hybridoma version of the product.
For other IHC staining systems (automated and non-automated) customers should optimize variable parameters such as antigen retrieval conditions, primary antibody concentration and antibody incubation times.
*Tissue obtained from the Human Research Tissue Bank, supported by the NIHR Cambridge Biomedical Research Centre

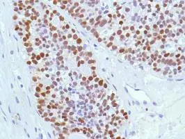
Immunohistochemistry (Formalin/PFA-fixed paraffin-embedded sections) - Anti-Estrogen Receptor alpha antibody [SP1] (ab16660)
Formalin-fixed, paraffin-embedded human ovarian adenocarcinoma tissue stained for Estrogen Receptor alpha using ab16660 at 1/200 dilution in immunohistochemical analysis.
This image was generated using the hybridoma version of the product.

Flow Cytometry (Intracellular) - Anti-Estrogen Receptor alpha antibody [SP1] (ab16660)
Intracellular flow cytometry analysis of MCF7 (human breast adenocarcinoma epithelial cell) labeling Estrogen Receptor alpha with purified ab16660 at 1/200 dilution (1.06 μg/ml) (red). Cells were fixed with 4% paraformaldehyde and permeabilised with 90% methanol. Goat anti rabbit IgG (Alexa Fluor® 488, ab150077) at 1/2000 dilution was used as a secondary antibody. Isotype control - Rabbit monoclonal IgG (ab172730) (black). Unlableled control - Unlabelled cells (blue). This image was generated using the hybridoma version of the product.
