JavaScript is disabled in your browser. Please enable JavaScript to view this website.

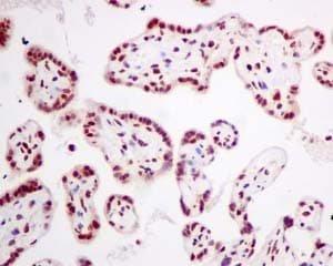
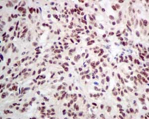
Anti-DKC1/Dyskerin antibody [EPR10399](AB156877)

$undefined

Anti-DKC1/Dyskerin antibody [EPR10399](AB156877)

Anti-DKC1/Dyskerin antibody [EPR10399](AB156877)

Anti-DKC1/Dyskerin antibody [EPR10399](AB156877)

Anti-DKC1/Dyskerin antibody [EPR10399](AB156877)

Rabbit Recombinant Monoclonal DKC1/Dyskerin antibody. Suitable for IHC-P, WB, ICC/IF and reacts with Human, Mouse, Rat samples. Cited in 4 publications.
Specifications
Shipped At Conditions Blue Ice
Appropriate Long term Storage Conditions Store at -20°C.
Clonality Monoclonal
Applications Flow Cyt, ICC/IF, IHC-P, IP, WB
Species Reactivity Human, Mouse, Rat
Isotype IgG