JavaScript is disabled in your browser. Please enable JavaScript to view this website.

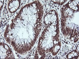
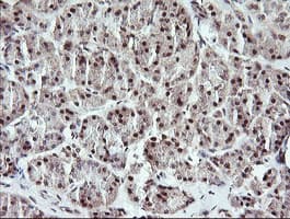
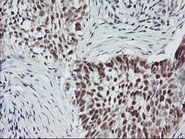
Anti-H-protein antibody [OTI3G1](AB156763)

$undefined

Anti-H-protein antibody [OTI3G1](AB156763)

Anti-H-protein antibody [OTI3G1](AB156763)

Anti-H-protein antibody [OTI3G1](AB156763)

Anti-H-protein antibody [OTI3G1](AB156763)

Anti-H-protein antibody [OTI3G1](AB156763)

Mouse Monoclonal H-protein antibody. Suitable for WB, IHC-P, ICC/IF and reacts with Human, African green monkey samples. Immunogen corresponding to Recombinant Full Length Protein corresponding to Human MYBPH.
Specifications
Shipped At Conditions Blue Ice
Appropriate Long term Storage Conditions Store at -20°C.
Clonality Monoclonal
Applications ICC/IF, IHC-P, WB
Species Reactivity African green monkey, Human
Isotype IgG2a