JavaScript is disabled in your browser. Please enable JavaScript to view this website.

Anti-FACL4 antibody [EPR8640](AB155282)

$undefined

Anti-FACL4 antibody [EPR8640](AB155282)

Anti-FACL4 antibody [EPR8640](AB155282)

Anti-FACL4 antibody [EPR8640](AB155282)

Anti-FACL4 antibody [EPR8640](AB155282)

Anti-FACL4 antibody [EPR8640](AB155282)

Anti-FACL4 antibody [EPR8640](AB155282)

Anti-FACL4 antibody [EPR8640](AB155282)

Anti-FACL4 antibody [EPR8640](AB155282)

Anti-FACL4 antibody [EPR8640](AB155282)

Anti-FACL4 antibody [EPR8640](AB155282)

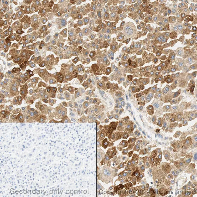
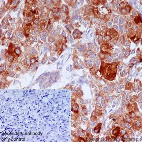
Anti-FACL4 antibody [EPR8640] ab155282 is a rabbit monoclonal antibody that is used in FACL4 western blotting, IHC, immunofluorescence and flow cytometry. Suitable for human, mouse and rat samples.

- Recombinant format for unrivaled batch-batch consistency: no need for same-lot requests
- Antibody clone EPR8640 is the most widely used clone for FACL4 on the market and is cited in >260 publications
- Specificity and sensitivity confirmed in IHC with multi-tissue microarray (TMA) validation
- One antibody for all your FACL4 staining, use in FACL4 western blotting, IHC, immunofluorescence and flow cytometry
Specifications
Shipped At Conditions Blue Ice
Appropriate Long term Storage Conditions Store at -20°C.
Clonality Monoclonal
Applications Flow Cyt (Intra), ICC/IF, IHC-P, IP, WB
Species Reactivity Human, Mouse, Rat
Isotype IgG