JavaScript is disabled in your browser. Please enable JavaScript to view this website.

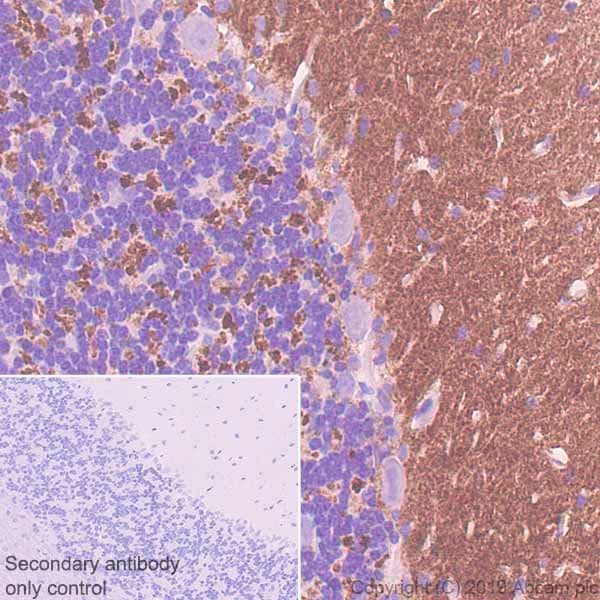
Anti-SYT2 antibody [ZNP-1](AB154035)

$undefined

Anti-SYT2 antibody [ZNP-1](AB154035)

Anti-SYT2 antibody [ZNP-1](AB154035)

Anti-SYT2 antibody [ZNP-1](AB154035)

Anti-SYT2 antibody [ZNP-1](AB154035)

Mouse Monoclonal SYT2 antibody. Suitable for IHC-P, WB, ICC/IF and reacts with Mouse, Rat, Human, Zebrafish samples. Cited in 3 publications.
Specifications
Shipped At Conditions Blue Ice
Appropriate Long term Storage Conditions Store at +4°C.
Clonality Monoclonal
Applications Cow, Human, Mouse, Rat, Zebrafish
Species Reactivity ICC/IF, IHC-P, WB
Isotype IgG2a