JavaScript is disabled in your browser. Please enable JavaScript to view this website.

Anti-Chromogranin A antibody(AB15160)

$undefined

Anti-Chromogranin A antibody(AB15160)

Anti-Chromogranin A antibody(AB15160)

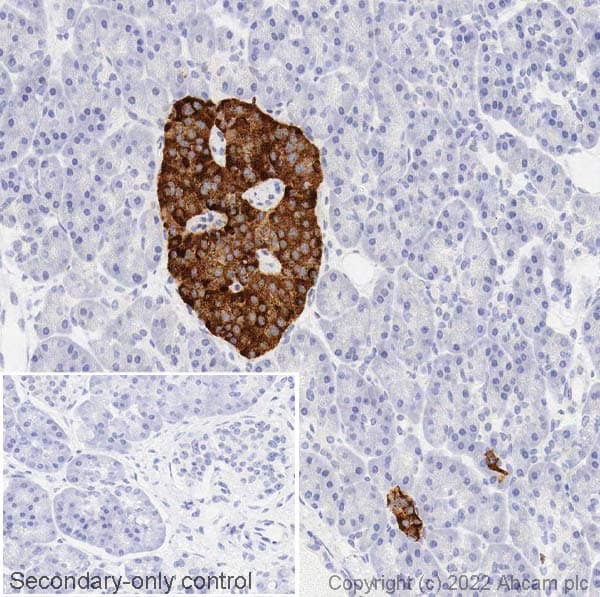
Anti-Chromogranin A antibody ab15160 is a rabbit polyclonal antibody that is used in Chromogranin A IHC. Suitable for human samples.

- Tried and trusted by researchers since 2004
Specifications
Shipped At Conditions Blue Ice
Appropriate Long term Storage Conditions Store at -20°C.
Clonality Polyclonal
Applications Human
Species Reactivity IHC-P, WB
Isotype IgG