JavaScript is disabled in your browser. Please enable JavaScript to view this website.

Anti-SDHA antibody [2E3GC12FB2AE2](AB14715)

$undefined

Anti-SDHA antibody [2E3GC12FB2AE2](AB14715)

Anti-SDHA antibody [2E3GC12FB2AE2](AB14715)

Anti-SDHA antibody [2E3GC12FB2AE2](AB14715)

Anti-SDHA antibody [2E3GC12FB2AE2](AB14715)

Anti-SDHA antibody [2E3GC12FB2AE2](AB14715)

Anti-SDHA antibody [2E3GC12FB2AE2](AB14715)

Anti-SDHA antibody [2E3GC12FB2AE2](AB14715)

Anti-SDHA antibody [2E3GC12FB2AE2](AB14715)

Anti-SDHA antibody [2E3GC12FB2AE2](AB14715)

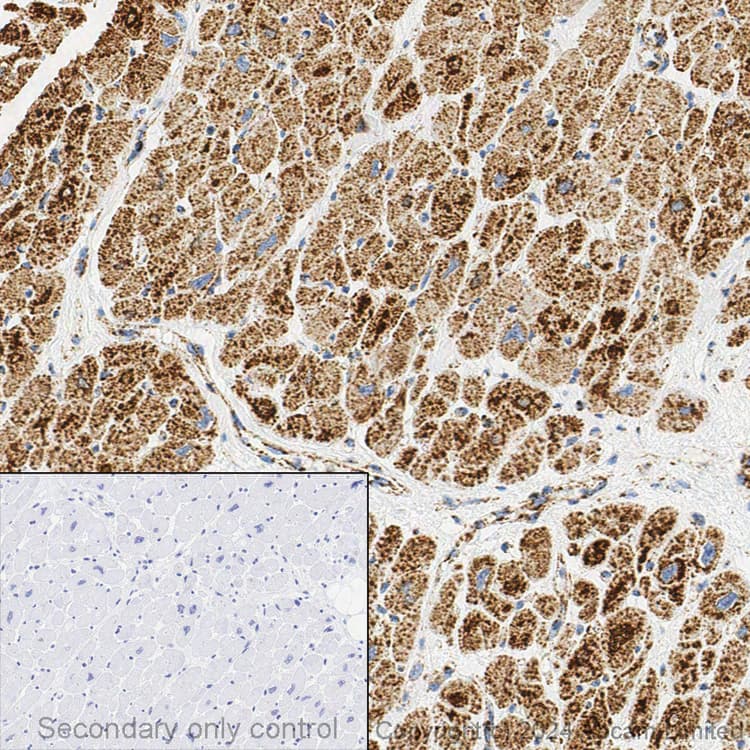
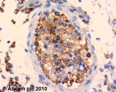
Anti-SDHA antibody [2E3GC12FB2AE2] ab14715 is a mouse monoclonal antibody that is used in SDHA western blotting, IHC, immunofluorescence and flow cytometry. Suitable for human, mouse and rat samples.

- Antibody clone 2E3GC12FB2AE2 is the most widely used clone for SDHA on the market and is cited in >620 publications
- Specificity confirmed with SDHA knockout cell line validation
- One antibody for all your SDHA staining, use in SDHA western blotting, IHC, immunofluorescence and flow cytometry
Specifications
Shipped At Conditions Blue Ice
Appropriate Long term Storage Conditions Store at +4°C.
Clonality Monoclonal
Applications Flow Cyt, ICC, IHC-Fr, IHC-P, WB
Species Reactivity Cow, Human, Mouse, Rat
Isotype IgG1