JavaScript is disabled in your browser. Please enable JavaScript to view this website.

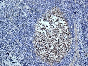
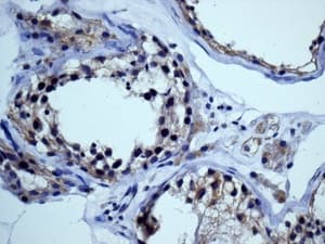
Anti-NFE2 antibody [EPR2824(2)](AB140598)

$undefined

Anti-NFE2 antibody [EPR2824(2)](AB140598)

Anti-NFE2 antibody [EPR2824(2)](AB140598)

Anti-NFE2 antibody [EPR2824(2)](AB140598)

Anti-NFE2 antibody [EPR2824(2)](AB140598)

Rabbit Recombinant Monoclonal NFE2 antibody. Suitable for IHC-P, IP, WB, ICC/IF and reacts with Human, Mouse, Rat samples. Cited in 1 publication.
Specifications
Shipped At Conditions Blue Ice
Appropriate Long term Storage Conditions Store at -20°C.
Clonality Monoclonal
Applications Human, Mouse, Rat
Species Reactivity Flow Cyt, ICC/IF, IHC-P, IP, WB
Isotype IgG