Western blot - Anti-Collagen I antibody [EPR7785] (ab138492)
Western blot results of Collagen I from ADSCs (human adipose derived stem cells) cultured in RAD16-I alone, RAD/CS or RAD/Decorin. Actin was used as an internal control. Samples were prepared in triplicate; control, control medium; chondro, chondrogenic medium.
Samples were lysed in RIPA buffer with a protease inhibitor cocktail. Acrylamide gels were prepared according to the size of the proteins, generally at concentrations of 7.5% or 10% (w/v). Cell lysates (5 mg) were run by applying 150 V for 90 min. Proteins were transferred to a PVDF membrane by applying 40 V for 2 hours at RT. The membrane was incubated at RT for 2 hours in blocking buffer (BB) consisting of 4% (w/v) nonfat milk powder in PBST. Membranes were incubated for 1 hour at RT with ab138492 at a final concentration of 1 mg/mL in PBST. An anti-rabbit (IgG-HRP) secondary antibody was added, at a final concentration of 1 mg/mL, and incubated at RT for 1 h.
For full image please see paper.
All lanes: Western blot - Anti-Collagen I antibody [EPR7785] (ab138492)
Predicted band size: 139 kDa
Recha-Sancho et al PLoS One. 2016 Jun 17;11(6):e0157603. doi: 10.1371/journal.pone.0157603. eCollection 2016. Fig 7. Reproduced under the Creative Commons license http://creativecommons.org/licenses/by/4.0/

Immunohistochemistry (Formalin/PFA-fixed paraffin-embedded sections) - Anti-Collagen I antibody [EPR7785] (ab138492)
Type I collagen (ab138492) and Type III collagen immunostainings for control, Subtype I, and Subtype II adenomyotic cases.
The type I collagen staining bands for adenomyotic cases were thicker than those of the control uteri, and were seen with more fine muscle bundles. Arrowheads indicate vascular walls. Original magnification: X100. Scale bar = 50μm.
Image from Kishi Y et al., PLoS One. 2017;12(12):e0189522. Fig 2.; doi: 10.1371/journal.pone.0189522. Reproduced under the Creative Commons license http://creativecommons.org/licenses/by/4.0/

Immunocytochemistry/ Immunofluorescence - Anti-Collagen I antibody [EPR7785] (ab138492)
ab138492 staining Collagen alpha-1 chain in wild-type U2OS cells (top panel) and COL1A1 knockout U2OS cells (bottom panel) (ab273846). The cells were fixed with 100% methanol (5 min) then permeabilized with 0.1% Triton X-100 for 5 minutes and then blocked with 1% BSA/10% normal goat serum/0.3M glycine in 0.1% PBS-Tween for 1h. The cells were then incubated with ab138492 at 0.4μg/ml concentration and ab7291 (Mouse monoclonal to alpha Tubulin) at 1/1000 dilution overnight at 4°C followed by a further incubation at room temperature for 1h with a goat secondary antibody to rabbit IgG (Alexa Fluor® 488) (ab150081) at 2 μg/ml (shown in green) and a goat secondary antibody to mouse IgG (Alexa Fluor® 594) (ab150120) at 2 μg/ml (shown in red). Nuclear DNA was labelled in blue with DAPI.
Image was taken with a confocal microscope (Leica-Microsystems TCS SP8).

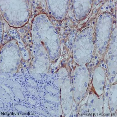
Immunohistochemistry (Formalin/PFA-fixed paraffin-embedded sections) - Anti-Collagen I antibody [EPR7785] (ab138492)
Immunohistochemistry (Formalin/PFA-fixed paraffin-embedded sections) analysis of human stomach tissue labeling Collagen I with purified ab138492 at 1/1500. Heat mediated antigen retrieval was performed using Tris/EDTA buffer pH 9. A prediluted HRP-polymer conjugated anti-rabbit IgG was used as the secondary antibody.
Negative control using PBS instead of primary antibody. Counterstained with hematoxylin.

Western blot - Anti-Collagen I antibody [EPR7785] (ab138492)
Blocking buffer: 5% NFDM/TBST.
Exposure time: 180 seconds.
All lanes: Western blot - Anti-Collagen I antibody [EPR7785] (ab138492) at 1/5000 dilution
Lane 1: HFF-1 (human skin fibroblast) whole cell lysate at 15 µg
Lane 2: MRC-5 (Human lung fibroblast) whole cell lysate at 15 µg
Secondary
All lanes: Western blot - Goat Anti-Rabbit IgG H&L (HRP) (ab97051) at 1/100000 dilution
Predicted band size: 139 kDa
Observed band size: 220 kDa
![Western blot using anti-Collagen I antibody [EPR7785] (ab138492) at 1/5000 dilution. Lane 1: 15 µg HFF-1 whole cell lysate; Lane 2: 15 µg MRC-5 whole cell lysate. Blocking buffer: 5% NFDM/TBST; exposure time: 180 seconds](./media_199a8ad62a2a3dc9dfe2544542b2cf993ed71fc39.avif?width=750&format=avif&optimize=medium)
Western blot - Anti-Collagen I antibody [EPR7785] (ab138492)
The lysate in this image is prepared by 1%SDS Hot lysis method. For Lysate preparation protocol, please refer to the protocol section of the website and/or here.
All lanes: Western blot - Anti-Collagen I antibody [EPR7785] (ab138492) at 1/1000 dilution
Lane 1: Human stomach tissue lysate at 10 µg
Lane 2: Human skin lysate at 10 µg
Lane 3: Human adrenal gland lysate at 10 µg
Secondary
Lane 1: HRP-conjugated goat anti-rabbit IgG at 1/2000 dilution
Lanes 2 - 3: HRP labelled goat anti-rabbit at 1/2000 dilution
Predicted band size: 139 kDa
