JavaScript is disabled in your browser. Please enable JavaScript to view this website.

Anti-DDX4 / MVH antibody(AB13840)

$undefined

Anti-DDX4 / MVH antibody(AB13840)

Anti-DDX4 / MVH antibody(AB13840)

Anti-DDX4 / MVH antibody(AB13840)

Anti-DDX4 / MVH antibody(AB13840)

Anti-DDX4 / MVH antibody(AB13840)

Anti-DDX4 / MVH antibody(AB13840)

Anti-DDX4 / MVH antibody(AB13840)

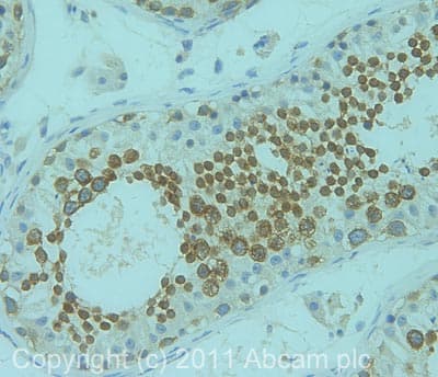
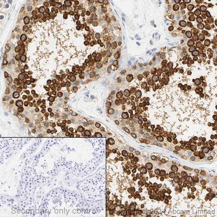
Anti-DDX4 / MVH antibody ab13840 is a rabbit polyclonal antibody that is used in DDX4 / MVH western blotting, IHC and immunofluorescence. Suitable for human and mouse samples.

- Tried and trusted by researchers since 2005
Specifications
Shipped At Conditions Blue Ice
Appropriate Long term Storage Conditions Store at -20°C.
Clonality Polyclonal
Applications ICC/IF, IHC-Fr, IHC-P, WB
Species Reactivity Human, Mouse
Isotype IgG