Immunoprecipitation - Anti-LEF1 antibody [EPR2029Y] (ab137872)
Lane 1 (input): Jurkat (human T cell leukemia T lymphocyte) whole cell lysate, 10 μg
Lane 2 (+): Jurkat whole cell lysate
Lane 3 (-): Rabbit monoclonal IgG (ab172730) instead of ab137872 in Jurkat whole cell lysate
ab137872 immunoprecipitating LEF1 in Jurkat whole cell lysate. For western blotting, primary antibody used was ab137872 at 1/1000 dilution. VeriBlot for IP Detection Reagent (HRP) (ab131366), was used for detection at 1/10,000 dilution.
Blocking and diluting buffer: 5% NFDM/TBST
Exposure time: 3 minutes
All lanes: Immunoprecipitation - Anti-LEF1 antibody [EPR2029Y] (ab137872)
Predicted band size: 44 kDa
Exposure time: 3min

Western blot - Anti-LEF1 antibody [EPR2029Y] (ab137872)
Blocking/Dilution buffer: 5% NFDM/TBST
All lanes: Western blot - Anti-LEF1 antibody [EPR2029Y] (ab137872) at 1/1000 dilution
All lanes: Human fetal thymus lysate at 10 µg
Secondary
All lanes: HRP goat anti-rabbit (H+L) at 1/1000 dilution
Predicted band size: 44 kDa

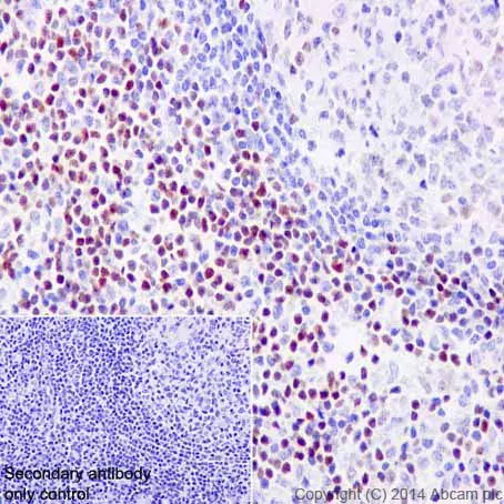
Immunohistochemistry (Formalin/PFA-fixed paraffin-embedded sections) - Anti-LEF1 antibody [EPR2029Y] (ab137872)
Immunohistochemical staining of paraffin embedded human tonsil with purified ab137872 at a working dilution of 1/500. The secondary antibody used is ab97051, an HRP-conjugated goat anti-rabbit IgG (H+L), at a dilution of 1/500. The sample is counter-stained with hematoxylin. Antigen retrieval was perfomed using Tris-EDTA buffer, pH 9.0. PBS was used instead of the primary antibody as the negative control, and is shown in the inset.

Western blot - Anti-LEF1 antibody [EPR2029Y] (ab137872)
False colour image of Western blot: Anti-LEF1 antibody [EPR2029Y] staining at 1/1000 dilution, shown in black; Mouse anti-Alpha Tubulin [DM1A] (ab7291) loading control staining at 1/20000 dilution, shown in red. In Western blot, ab137872 was shown to bind specifically to LEF1. A band was observed at 40/53 kDa in wild-type Jurkat cell lysates with no signal observed at this size in Lef1 knockout cell line ab274898 (knockout cell lysate ab274956). To generate this image, wild-type and Lef1 knockout Jurkat cell lysates were analysed. First, samples were run on an SDS-PAGE gel then transferred onto a nitrocellulose membrane. Membranes were blocked in 3% milk in TBS-0.1 % Tween® 20 (TBS-T) before incubation with primary antibodies overnight at 4°C. Blots were washed four times in TBS-T, incubated with secondary antibodies for 1 h at room temperature, washed again four times before development with Optiblot (ECL reagent ab133456) and imaged with 4 minutes exposure time. Secondary antibodies used were HRP conjugated Goat anti-Rabbit (H+L) and Goat anti-Mouse IgG H&L (IRDye® 680RD) preabsorbed (ab216776) at 1/20000 dilution.
All lanes: Western blot - Anti-LEF1 antibody [EPR2029Y] (ab137872) at 1/1000 dilution
Lane 1: Wild-type Jurkat cell lysate at 40 µg
Lane 2: Lef1 knockout Jurkat cell lysate at 40 µg
Lane 3: Jurkat cell lysate at 20 µg
Performed under reducing conditions.
Predicted band size: 44 kDa
Observed band size: 40 kDa
![Western blot using anti-LEF1 antibody [EPR2029Y] (ab137872) at 1/1000 dilution. Lane 1: wild-type Jurkat lysate (40 µg), Lane 2: Lef1 knockout Jurkat lysate (40 µg), Lane 3: Jurkat lysate (20 µg). Predicted band size: 44 kDa; observed: 40 kDa](./media_147a11854ad44947b74883507bbbfa292c9257e4b.avif?width=750&format=avif&optimize=medium)
Immunocytochemistry/ Immunofluorescence - Anti-LEF1 antibody [EPR2029Y] (ab137872)
Immunofluorescence staining of Jurkat (Human T cell leukemia cell line from peripheral blood) cells with purified ab137872 at a working dilution of 1 in 500, counter-stained with DAPI. Tubulin was stained with mouse anti-tubulin at a dilution of 1/1000 (ab7291) and Alexa Fluor® 594 goat anti-mouse at a dilution of 1/500 (ab150120) . The secondary antibody was ab150077 Alexa Fluor® 488 goat anti rabbit, used at a dilution of 1 in 500. The cells were fixed in 4% PFA and permeabilized using 0.1% Triton X 100.
The negative controls are shown in the bottom middle and right hand panels - for the first negative control, purified ab137872 was used at a dilution of 1/200 followed by an Alexa Fluor® 555 goat anti-mouse antibody at a dilution of 1/500 and for the second negative control mouse primary antibody (ab7291) and anti-rabbit secondary antibody (ab15007) were used.

Flow Cytometry (Intracellular) - Anti-LEF1 antibody [EPR2029Y] (ab137872)
ntracellular flow cytometric analysis of Jurkat cell line (human T cell leukemia T lymphocyte) fixed with 4% paraformaldehyde and permeabilized with 90% methanol labeling LEF1 with ab137872 at 1/600 dilution (red). This is compared with a Rabbit monoclonal IgG (ab172730) - Isotype control (black) and a unlabeled control (cells without incubation with primary antibody and secondary antibody) (blue). Goat anti-rabbit IgG (Alexa Fluor®488) was used as the secondary antibody.
