JavaScript is disabled in your browser. Please enable JavaScript to view this website.

Anti-Cyclin A2 antibody(AB137769)

$undefined

Anti-Cyclin A2 antibody(AB137769)

Anti-Cyclin A2 antibody(AB137769)

Anti-Cyclin A2 antibody(AB137769)

Anti-Cyclin A2 antibody(AB137769)

Anti-Cyclin A2 antibody(AB137769)

Anti-Cyclin A2 antibody(AB137769)

Anti-Cyclin A2 antibody(AB137769)

Anti-Cyclin A2 antibody(AB137769)

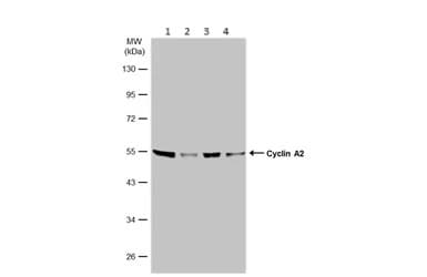
Rabbit Polyclonal Cyclin A2 antibody. Suitable for IHC-P, IP, WB, ICC/IF and reacts with Human, Mouse, Rat samples. Cited in 10 publications. Immunogen corresponding to Recombinant Fragment Protein within Human CCNA2.
Specifications
Shipped At Conditions Blue Ice
Appropriate Long term Storage Conditions Store at -20°C.
Clonality Polyclonal
Applications ICC/IF, IHC-P, IP, WB
Species Reactivity Human, Mouse, Rat
Isotype IgG