JavaScript is disabled in your browser. Please enable JavaScript to view this website.

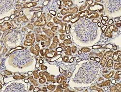
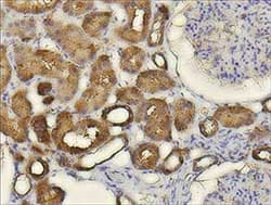
Anti-CXCL14 antibody(AB137541)

$undefined

Anti-CXCL14 antibody(AB137541)

Anti-CXCL14 antibody(AB137541)

Anti-CXCL14 antibody(AB137541)

Anti-CXCL14 antibody(AB137541)

Rabbit Polyclonal CXCL14 antibody. Suitable for WB, IHC-P and reacts with Mouse, Human samples. Cited in 7 publications. Immunogen corresponding to Synthetic Peptide within Human C-X-C motif chemokine 14 aa 1 to C-terminus.
Specifications
Shipped At Conditions Blue Ice
Appropriate Long term Storage Conditions Store at -20°C.
Clonality Polyclonal
Applications IHC-P, WB
Species Reactivity Human, Mouse
Isotype IgG