Immunohistochemistry (Formalin/PFA-fixed paraffin-embedded sections) - Anti-Somatostatin Receptor 2 antibody [UMB1] - C-terminal (ab134152)
Immunohistochemical analysis of paraffin-embedded human cervical cancer xenograft tissue (cells derived from liver metastases) using ab134152 at 1/100 dilution.
Somatostatin Receptor 2 is detected using ab134152.
From Figure 1 of Yuan et al.
Yuan et al Sci Rep. 2017; 7: 45617. Published online 2017 Apr 5. doi: 10.1038/srep45617, PMID: 28378747
Reproduced under the Creative Commons Licence http://creativecommons.org/licenses/by/4.0/
Yuan et al Sci Rep. 2017; 7: 45617. Published online 2017 Apr 5. doi: 10.1038/srep45617

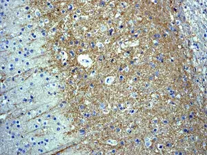
Immunohistochemistry (Formalin/PFA-fixed paraffin-embedded sections) - Anti-Somatostatin Receptor 2 antibody [UMB1] - C-terminal (ab134152)
Immunohistochemical analysis of paraffin embedded human brain tissue labeled with ab134152 at 1/100 dilution.
Perform heat mediated antigen retrieval with citrate buffer pH 6 before commencing with IHC staining protocol.

Western blot - Anti-Somatostatin Receptor 2 antibody [UMB1] - C-terminal (ab134152)
Blocking and diluting buffer: 5% NFDM/TBST.
This antibody doesn't work in MCF-7 and MDA-MB-231 cells which should be positive (PMID: 16519802). A549 cell is Somatostatin Receptor 2 negative cell line (PMID: 19148511).
All lanes: Western blot - Anti-Somatostatin Receptor 2 antibody [UMB1] - C-terminal (ab134152) at 1/1000 dilution
Lane 1: U937 (Human histiocytic lymphoma monocyte) whole cell lysates prepared in RIPA lysis method at 15 µg
Lane 2: U937 (Human histiocytic lymphoma monocyte) whole cell lysates prepared in 1% SDS hot lysis method at 15 µg
Lane 3: MCF-7 (Human breast adenocarcinoma epithelial cell) whole cell lysates prepared in RIPA lysis method at 15 µg
Lane 4: MCF-7 (Human breast adenocarcinoma epithelial cell) whole cell lysates prepared in 1% SDS hot lysis method at 15 µg
Lane 5: MDA-MB-231 (Human breast adenocarcinoma epithelial cell) whole cell lysates prepared in RIPA lysis method at 15 µg
Lane 6: MDA-MB-231 (Human breast adenocarcinoma epithelial cell) whole cell lysates prepared in 1% SDS hot lysis method at 15 µg
Lane 7: A549 (Human lung carcinoma epithelial cell) whole cell lysates prepared in RIPA lysis method at 15 µg
Secondary
All lanes: Western blot - Goat Anti-Rabbit IgG H&L (HRP) (ab97051) at 1/20000 dilution
Predicted band size: 41 kDa
Observed band size: 73 kDa
Exposure time: 3min
![Western blot detecting Somatostatin Receptor 2 with anti-Somatostatin receptor 2 antibody [UMB1] (ab134152) at 1/1000 dilution. Ineffective in MCF-7 and MDA-MB-231 cells; A549 cells are negative.](./media_1a25c4fcbbff5f30c79ffbb46b08ff58507d8f122.avif?width=750&format=avif&optimize=medium)
Western blot - Anti-Somatostatin Receptor 2 antibody [UMB1] - C-terminal (ab134152)
Blocking and diluting buffer: 5% NFDM/TBST.
Exposure time: Lane 1 and 2: 1 second. Lane 3 and 4: 5 seconds.
All lanes: Western blot - Anti-Somatostatin Receptor 2 antibody [UMB1] - C-terminal (ab134152) at 1/1000 dilution
Lane 1: Human brain lysates prepared in RIPA lysis method at 15 µg
Lane 2: Human brain lysates prepared in 1% SDS hot lysis method at 15 µg
Lane 3: Mouse brain lysates prepared in RIPA lysis method at 15 µg
Lane 4: Mouse brain lysates prepared in 1% SDS hot lysis method at 15 µg
Secondary
All lanes: Western blot - Goat Anti-Rabbit IgG H&L (HRP) (ab97051) at 1/20000 dilution
Predicted band size: 41 kDa
Observed band size: 73 kDa
![Western blot using anti-Somatostatin receptor 2 antibody [UMB1] (ab134152) at 1/1000 dilution with 5% NFDM/TBST. Exposure times: 1 second for lanes 1 and 2, 5 seconds for lanes 3 and 4](./media_1abd4567f3d16c671cebed2ae51f2da57f293b0a3.avif?width=750&format=avif&optimize=medium)
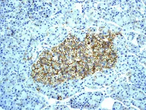
Immunohistochemistry (Formalin/PFA-fixed paraffin-embedded sections) - Anti-Somatostatin Receptor 2 antibody [UMB1] - C-terminal (ab134152)
Immunohistochemical analysis of paraffin embedded human pancreas tissue labeled with ab134152 at 1/100 dilution.
Perform heat mediated antigen retrieval with citrate buffer pH 6 before commencing with IHC staining protocol.

Western blot - Anti-Somatostatin Receptor 2 antibody [UMB1] - C-terminal (ab134152)
All lanes: Western blot - Anti-Somatostatin Receptor 2 antibody [UMB1] - C-terminal (ab134152) at 1/1000 dilution
Lane 1: U937 (Human histiocytic lymphoma cell line) cell lysates at 10 µg
Lane 2: INS-1 cell lysates at 10 µg
Lane 3: Somatostatin Receptor 2 transfected HEK-293 (Human epithelial cell line from embryonic kidney) cell lysates at 10 µg
Secondary
All lanes: HRP labeled goat anti-rabbit at 1/2000 dilution
Predicted band size: 41 kDa
