JavaScript is disabled in your browser. Please enable JavaScript to view this website.

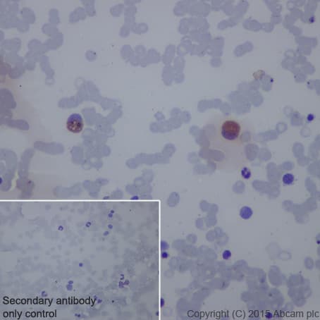
Anti-CD42b antibody [EPR6995](AB134087)

$undefined

Anti-CD42b antibody [EPR6995](AB134087)

Anti-CD42b antibody [EPR6995](AB134087)

Anti-CD42b antibody [EPR6995](AB134087)

Anti-CD42b antibody [EPR6995](AB134087)

Anti-CD42b antibody [EPR6995](AB134087)

Anti-CD42b antibody [EPR6995] ab134087 is a rabbit monoclonal antibody that is used in CD42b western blotting and IHC. Suitable for human samples.

- Recombinant format for unrivaled batch-batch consistency: no need for same-lot requests
- Specificity and sensitivity confirmed in IHC with multi-tissue microarray (TMA) validation
Specifications
Shipped At Conditions Blue Ice
Appropriate Long term Storage Conditions Store at -20°C.
Clonality Monoclonal
Applications ICC/IF, IHC-P, WB
Species Reactivity Human
Isotype IgG