Indirect ELISA - Anti-VCAM1 antibody [EPR5047] (ab134047)
ELISA using ab134047 at varying antibody concentrations and antigen concentration at 250 ng/mL. An Alkaline Phosphatase-conjugated AffiniPure Goat Anti-Rabbit IgG (H+L) (1/2500) was used as the secondary antibody.

Western blot - Anti-VCAM1 antibody [EPR5047] (ab134047)
Lanes 1 - 6: Merged signal (red and green). Green - ab134047 observed at 105 kDa. Red - loading control ab7291 (Mouse anti-Alpha Tubulin [DM1A]) observed at 55 kDa.
ab134047 was shown to react with VCAM1 in treated wild-type A549 cells in Western blot with loss of signal observed in treated VCAM1 knockout cell line ab273758 (knockout cell lysate ab275504). Wild-type A549 and VCAM1 knockout cell lysates were subjected to SDS-PAGE. Membranes were blocked in 3 % milk in TBS-T (0.1 % Tween®) before incubation with ab134047 and ab7291 (Mouse anti-Alpha Tubulin [DM1A]) overnight at 4 °C at a 1 in 2000 dilution and a 1 in 20000 dilution respectively. Blots were incubated with HRP conjugated Goat anti-Rabbit (H+L) and Goat anti-Mouse IgG H&L (IRDye® 680RD) preabsorbed (ab216776) secondary antibodies at 1 in 20000 dilution for 1 h at room temperature before imaging.
All lanes: Western blot - Anti-VCAM1 antibody [EPR5047] (ab134047) at 1/2000 dilution
Lane 1: Wild-type A549 cell lysate at 30 µg
Lane 2: Wild-type A549 TNF-a treated (10 ng/mL, 16h) cell lysate at 30 µg
Lane 3: VCAM1 knockout A549 cell lysate at 30 µg
Lane 4: VCAM1 knockout A549 TNF-a treated (10 ng/mL, 16h) cell lysate at 30 µg
Lane 5: HUVEC cell lysate at 30 µg
Lane 6: HUVEC TNF-a treated (16 ng/mL, 16h) cell lysate at 30 µg
Performed under reducing conditions.
Predicted band size: 81 kDa
Observed band size: 105 kDa
![Western blot - Anti-VCAM1 antibody [EPR5047] (ab134047) at 1/2000 dilution Merged signal (red and green). Green - ab134047 observed at 105 kDa. Red - loading control ab7291 (Mouse anti-Alpha Tubulin [DM1A]) observed at 55 kDa.](./media_136169b3d0f6de47a7325eaa9a484e11ea6e948d3.avif?width=750&format=avif&optimize=medium)
Western blot - Anti-VCAM1 antibody [EPR5047] (ab134047)
Rabbit monoclonal [EPR16891] to GAPDH (ab181602) used as loading control.
Blocking/Diluting buffer: 5% NFDM/TBST.
Stimulation may be required to allow detection of the target protein due to low levels of endogenous expression in some samples.
All lanes: Western blot - Anti-VCAM1 antibody [EPR5047] (ab134047) at 1/1000 dilution
Lane 1: HUVEC (Human umbilical vein endothelial cell) whole cell lysate at 20 µg
Lane 2: HUVEC (Human umbilical vein endothelial cell) treated with 10 ng/ml TNF-α for 16 h, whole cell lysate at 20 µg
Lane 3: bEnd.3 (Mouse brain endothelioma) whole cell lysate at 20 µg
Lane 4: bEnd.3 (Mouse brain endothelioma) treated with 10 μg/ml LPS for 24 h, whole cell lysate at 20 µg
Secondary
All lanes: Western blot - Goat Anti-Rabbit IgG H&L (HRP) (ab97051) at 1/20000 dilution
Predicted band siz e: 81 kDa
Observed band size: 100 kDa, 36 kDa
Exposure time: 2s
![Rabbit monoclonal [EPR16891] to GAPDH (ab181602) used as loading control. Anti-VCAM1 antibody [EPR5047] (ab134047) at 1/1000 dilution](./media_1abd4567f3d16c671cebed2ae51f2da57f293b0a3.avif?width=750&format=avif&optimize=medium)
Immunoprecipitation - Anti-VCAM1 antibody [EPR5047] (ab134047)
VCAM1 was immunoprecipitated from Human fetal liver lysate with ab134047 at 1/110 dilution.
Western blot was performed from the immunoprecipitate using ab134047 at 1/1000 dilution.
VeriBlot for IP secondary antibody (Peroxidase conjugated),was used as secondary antibody at 1/1000 dilution.
Lane 1: Human fetal liver lysate.
Blocking and dilution buffer: 5% NFDM/TBST.
Exposure time: 1 second.
All lanes: Immunoprecipitation - Anti-VCAM1 antibody [EPR5047] (ab134047)
Predicted band size: 81 kDa
![Immunoprecipitation - Anti-VCAM1 antibody [EPR5047] (ab134047) VCAM1 was immunoprecipitated from Human fetal liver lysate with ab134047 at 1/110 dilution.](./media_1f84394daeafbd40491a9a19381845026135d3a99.avif?width=750&format=avif&optimize=medium)
Western blot - Anti-VCAM1 antibody [EPR5047] (ab134047)
Rabbit monoclonal [EPR16891] to GAPDH (ab181602) used as loading control.
Blocking/Diluting buffer: 5% NFDM/TBST.
All lanes: Western blot - Anti-VCAM1 antibody [EPR5047] (ab134047) at 1/1000 dilution
Lane 1: Hut-78 (Human Sezary syndrome cutaneous T lymphocyte) whole cell lysate at 20 µg
Lane 2: SK-OV-3 (Human ovarian cancer epithelial cell) whole cell lysate at 20 µg
Lane 3: RAW 264.7 (Mouse Abelson murine leukemia virus-induced tumor macrophage) whole cell lysate at 20 µg
Lane 4: J774A.1 (Mouse reticulum cell sarcoma monocyte macrophage) whole cell lysate at 20 µg
Lane 5: LADMAC (Mouse bone marrow monocyte macrophage) whole cell lysate at 20 µg
Secondary
All lanes: Western blot - Goat Anti-Rabbit IgG H&L (HRP) (ab97051) at 1/20000 dilution
Predicted band size: 81 kDa
Observed band size: 100 kDa, 36 kDa
Exposure time: 7s
![Western blot - Anti-VCAM1 antibody [EPR5047] (ab134047) at 1/1000 dilution. Blocking/Diluting buffer: 5% NFDM/TBST](./media_153fd37defe479e68cae1319d93affae6069691c9.avif?width=750&format=avif&optimize=medium)
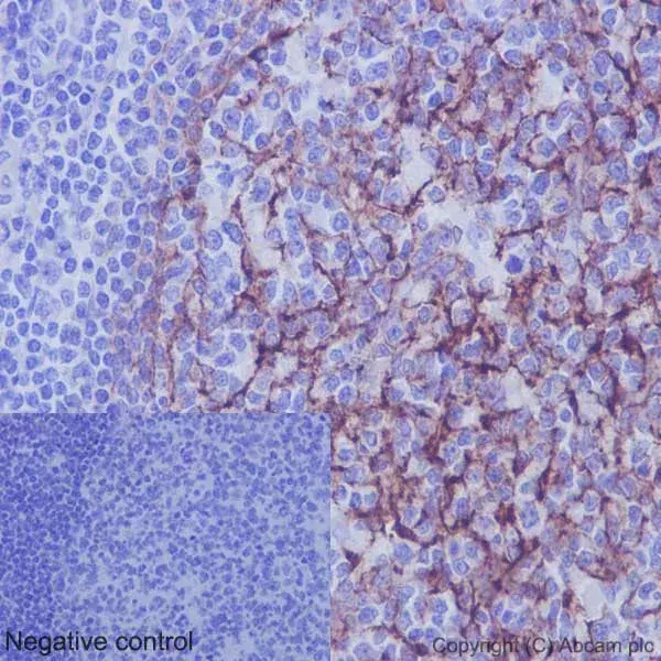
Immunohistochemistry (Formalin/PFA-fixed paraffin-embedded sections) - Anti-VCAM1 antibody [EPR5047] (ab134047)
Immunohistochemical staining of paraffin embedded human tonsil with purified ab134047 at a dilution of 1/500. A pre-diluted HRP polymer for rabbit/mouse IgG was used as the secondary antibody and the sample was counter-stained with hematoxylin. Antigen retrieval was perfomed using Tris-EDTA buffer, pH 9.0. PBS was used instead of the primary antibody as the negative control, and is shown in the inset.
