Anti-CD36 antibody [EPR6573](AB133625)
$undefined
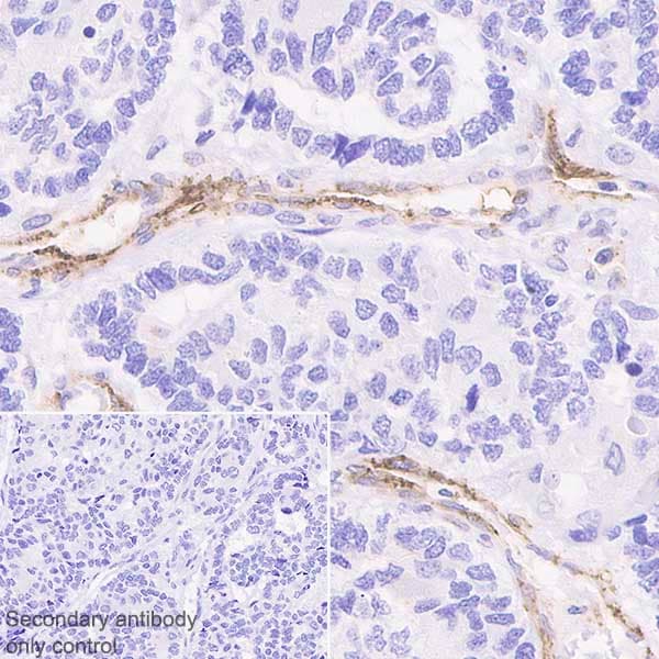
Anti-CD36 antibody [EPR6573] ab133625 is a rabbit monoclonal antibody that is used in CD36 western blotting and IHC. Suitable for human samples.
- Recombinant format for unrivaled batch-batch consistency: no need for same-lot requests
- Antibody clone EPR6573 is the most widely used clone for CD36 on the market and is cited in >160 publications
- Specificity and sensitivity confirmed in IHC with multi-tissue microarray (TMA) validation
- Recombinant format for unrivaled batch-batch consistency: no need for same-lot requests
- Antibody clone EPR6573 is the most widely used clone for CD36 on the market and is cited in >160 publications
- Specificity and sensitivity confirmed in IHC with multi-tissue microarray (TMA) validation
| Shipped At Conditions | Blue Ice |
| Appropriate Long term Storage Conditions | Store at -20°C. |
| Clonality | Monoclonal |
| Applications | IHC-P, WB |
| Species Reactivity | Human |
| Isotype | IgG |