Request for Quote

Immunocytochemistry/ Immunofluorescence - Anti-CD4 antibody [EPR6855] (ab133616)

HBZ is preferentially expressed in CD4+ T cells of HAM/TSP patient PH1624

Confocal microscopy analysis of PBMC from HAM/TSP patient PH1624. (A) co-staining with the 4D4-F3 anti-HBZ mAb followed by Alexa Fluor 546-conjugated goat anti-mouse IgG1 antibody (red) and with the anti-CD4 mAb followed by Alexa Fluor 488-conjugated goat-anti-rabbit IgG antibody (green); upper panels, extended field; lower panels, enlarged field focused on the single cell depicted in the square of the left upper panel and positive for both CD4 and HBZ.

CD4 was detected using ab133616 at 1/100 dilution.

From Figure 6A of Baratella et al.

Baratelle et al PLoS Negl Trop Dis. 2017 Jan; 11(1): e0005285. Published online 2017 Jan 17. doi: 10.1371/journal.pntd.0005285

Reproduced under Creative Commons Attribution License, which permits unrestricted use, distribution, and reproduction in any medium, provided the original author and source are credited.

Baratella et al PLoS Negl Trop Dis. 2017 Jan; 11(1): e0005285. Published online 2017 Jan 17. doi: 10.1371/journal.pntd.0005285

Immunocytochemistry/ Immunofluorescence - Anti-CD4 antibody [EPR6855] (ab133616)

Flow Cytometry (Intracellular) - Anti-CD4 antibody [EPR6855] (ab133616)

Human peripheral blood lymphocytes stained with unpurifiedab133616 (red line). Human whole blood was processed using a modified protocol based on Chow et al, 2005 (PMID: 16080188). In brief, human whole blood was fixed in 4% formaldehyde (methanol-free) for 10 min at 22°C. Red blood cells were then lyzed by the addition of Triton X-100 (final concentration - 0.1%) for 15 min at 37°C. For experimentation, cells were treated with 50% methanol (-20°C) for 15 min at 4°C. Cells were then incubated with the antibody (unpurified ab133616, 1/100 dilution) for 30 min at 4°C. The secondary antibody used was Alexa Fluorr® 488 goat anti-rabbit IgG (H&L) (ab150077) at 1/2000 dilution for 30 min at 4°C. Isotype control antibody (black line) was rabbit IgG (monoclonal) (0.1μg/1x106 cells) used under the same conditions. Unlabelled sample (blue line) was also used as a control. Acquisition of >30,000 total events were collected using a 20mW Argon ion laser (488nm) and 525/30 bandpass filter. Gating strategy - peripheral blood lymphocytes.

Human peripheral blood lymphocytes stained with unpurified ab133616 (red line), processed using a modified protocol from Chow et al., 2005 (PMID: 16080188)

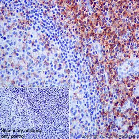
Immunohistochemistry (Formalin/PFA-fixed paraffin-embedded sections) - Anti-CD4 antibody [EPR6855] (ab133616)

Immunohistochemistry (Formalin/PFA-fixed paraffin-embedded sections) analysis of human tonsil tissue labelling CD4 with purified ab133616 at 1/500. Heat mediated antigen retrieval was performed using Tris/EDTA buffer pH 9. ab97051, a HRP-conjugated goat anti-rabbit IgG (H+L) was used as the secondary antibody (1/500). Negative control using PBS instead of primary antibody. Counterstained with hematoxylin.

Immunohistochemistry of human tonsil tissue labeling CD4 with antibody ab133616 at 1/500 dilution

Western blot - Anti-CD4 antibody [EPR6855] (ab133616)

All lanes: Western blot - Anti-CD4 antibody [EPR6855] (ab133616) at 1/1000 dilution

Lane 1: THP-1 cell lysate at 10 µg

Lane 2: Human fetal thymus lysate at 10 µg

Lane 3: Human tonsil lysate at 10 µg

Lane 4: Human lymph node lysate at 10 µg

Secondary

All lanes: HRP labelled goat anti-rabbit at 1/2000 dilution

Predicted band size: 51 kDa

Observed band size: 51 kDa

Western blot - Anti-CD4 antibody [EPR6855] (ab133616) at 1/1000 dilution

Immunocytochemistry/ Immunofluorescence - Anti-CD4 antibody [EPR6855] (ab133616)

Immunocytochemistry analysis of THP-1 (Human monocytic leukemia monocyte) labeling CD4 with purified ab133616 at 1/100 dilution. Cells were fixed with 100% methanol. Goat anti rabbit IgG (Alexa Fluor® 488, ab150077) at 1/1000 (2 µg/ml) was used as the secondary antibody. ab195889 Anti-alpha Tubulin antibody [DM1A] - Microtubule Marker (Alexa Fluor® 594) 1/200 (2.30 µg/ml) was used as counterstain. Nuclei were stained blue with DAPI.

Negative control: PBS instead of the primary antibody.

Immunocytochemistry analysis of THP-1 cells labeling CD4 with antibody ab133616 (1/100 dilution).

Western blot - Anti-CD4 antibody [EPR6855] (ab133616)

Different batches of ab133616 were tested on THP-1 (Human monocytic leukemia monocyte) lysate at 1.0 µg/ml. 15 µg of lysate was loaded in each lane. Bands observed at 51 kDa.

All lanes: Western blot - Anti-CD4 antibody [EPR6855] (ab133616)

Predicted band size: 51 kDa

All lanes: Western blot - Anti-CD4 antibody [EPR6855] (ab133616) Predicted band size: 51 kDa
Specifications