JavaScript is disabled in your browser. Please enable JavaScript to view this website.

Anti-Rad51 antibody [EPR4030(3)](AB133534)

$undefined

Anti-Rad51 antibody [EPR4030(3)](AB133534)

Anti-Rad51 antibody [EPR4030(3)](AB133534)

Anti-Rad51 antibody [EPR4030(3)](AB133534)

Anti-Rad51 antibody [EPR4030(3)](AB133534)

Anti-Rad51 antibody [EPR4030(3)](AB133534)

Anti-Rad51 antibody [EPR4030(3)](AB133534)

Anti-Rad51 antibody [EPR4030(3)](AB133534)

Anti-Rad51 antibody [EPR4030(3)](AB133534)

Anti-Rad51 antibody [EPR4030(3)](AB133534)

Anti-Rad51 antibody [EPR4030(3)](AB133534)

Anti-Rad51 antibody [EPR4030(3)](AB133534)

Anti-Rad51 antibody [EPR4030(3)](AB133534)

Anti-Rad51 antibody [EPR4030(3)](AB133534)

Anti-Rad51 antibody [EPR4030(3)](AB133534)

Anti-Rad51 antibody [EPR4030(3)](AB133534)

Anti-Rad51 antibody [EPR4030(3)](AB133534)

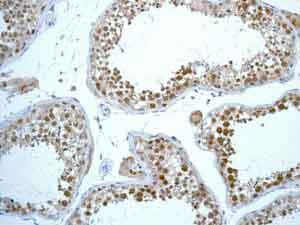
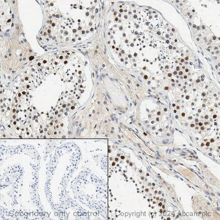
Anti-Rad51 antibody [EPR4030(3)] ab133534 is a rabbit monoclonal antibody that is used in Rad51 western blotting, IHC, immunofluorescence and flow cytometry. Suitable for human, mouse and rat samples.

- Recombinant format for unrivaled batch-batch consistency: no need for same-lot requests
- Specificity and sensitivity confirmed in IHC with multi-tissue microarray (TMA) validation
- Antibody clone EPR4030(3) is cited in over 210 publications
- One antibody for all your Rad51 staining, use in Rad51 western blotting, IHC, immunofluorescence and flow cytometry
Specifications
Shipped At Conditions Blue Ice
Appropriate Long term Storage Conditions Store at -20°C.
Clonality Monoclonal
Applications Flow Cyt (Intra), ICC/IF, IHC-P, IP, WB
Species Reactivity Human, Mouse, Rat
Isotype IgG