JavaScript is disabled in your browser. Please enable JavaScript to view this website.

Anti-S100 alpha antibody [EPR5250](AB133519)

$undefined

Anti-S100 alpha antibody [EPR5250](AB133519)

Anti-S100 alpha antibody [EPR5250](AB133519)

Anti-S100 alpha antibody [EPR5250](AB133519)

Anti-S100 alpha antibody [EPR5250](AB133519)

Anti-S100 alpha antibody [EPR5250](AB133519)

Anti-S100 alpha antibody [EPR5250](AB133519)

Anti-S100 alpha antibody [EPR5250](AB133519)

Anti-S100 alpha antibody [EPR5250](AB133519)

Anti-S100 alpha antibody [EPR5250](AB133519)

Anti-S100 alpha antibody [EPR5250](AB133519)

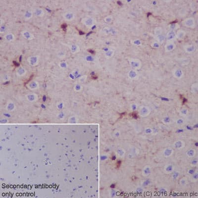
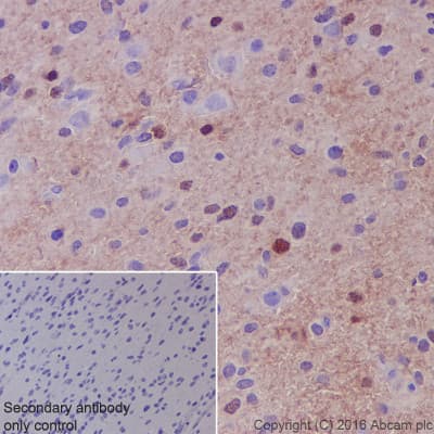
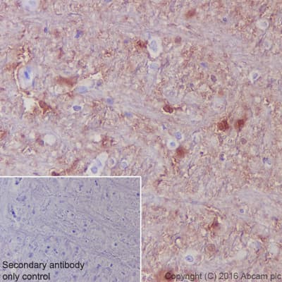
Rabbit Recombinant Monoclonal S10A1 antibody. Suitable for IHC-P, WB and reacts with Mouse, Rat, Human samples. Cited in 1 publication.
Specifications
Shipped At Conditions Blue Ice
Appropriate Long term Storage Conditions Store at -20°C.
Clonality Monoclonal
Applications Flow Cyt, ICC/IF, IHC-P, IP, WB
Species Reactivity Human, Mouse, Rat
Isotype IgG