Immunohistochemistry (Formalin/PFA-fixed paraffin-embedded sections) - Anti-CD11b antibody [EPR1344] (ab133357)
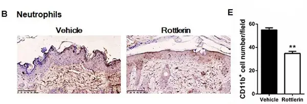
Rottlerin decreases the number of effector cells that mainly infiltrate the skin in IMQ-treated mice
Immunohistochemical detection of immune cell-related markers was performed on paraffin-embedded sections obtained from the back skin of IMQ-induced mice treated with vehicle or rottlerin.
Representatives IHC images of CD11b (B) on the skin of the vehicle or rottlerin-treated mice. Scale bar = 100μm.
Quantification analysis of IHC staining for CD11b(E) on the skin of the vehicle and rottlerin treated mice. Two independent researchers counted the number of positive staining cells were per high-power field (HPF). The data are representative of three experiments (n = 5 mice per group). ** P<0.01 vs. vehicle.
Min, M et al PLoS One. 2017 Dec 22;12(12):e0190051. doi: 10.1371/journal.pone.0190051. eCollection 2017 Reproduced under the Creative Commons license http://creativecommons.org/licenses/by/4.0/

Western blot - Anti-CD11b antibody [EPR1344] (ab133357)
Blocking buffer: 5% NFDM/TBST
Dilution buffer: 5% NFDM/TBST
All lanes: Western blot - Anti-CD11b antibody [EPR1344] (ab133357) at 1/1000 dilution
Lane 1: TF-1 cell lysate at 20 µg
Lane 2: TPA treated THP-1 cell lysate at 20 µg
Secondary
All lanes: HRP goat anti-rabbit (H+L) at 1/1000 dilution
Predicted band size: 127 kDa
Observed band size: 170 kDa

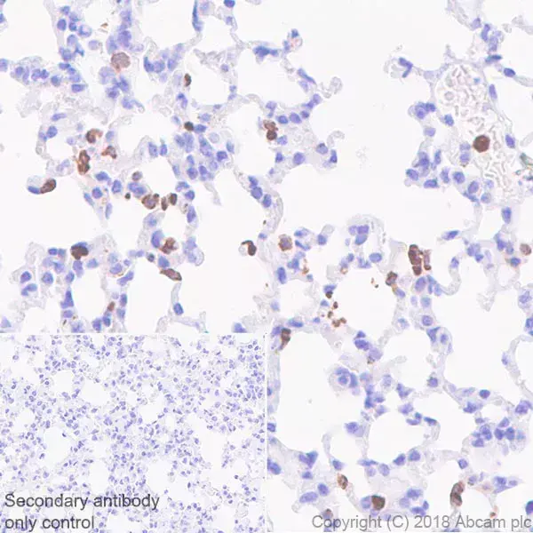
paraffin-embedded sections) - Anti-CD11b antibody [EPR1344] (ab133357)
ab133357 staining CD11b in paraffin embedded Mouse lung tissue sections by Immunohistochemistry. Heat mediated antigen retrieval was performed using ab93684 (Tris/EDTA buffer, pH 9.0). Samples were incubated with primary antibody at 1/4000 dilution (0.031 μg/ml). A ready to use Goat Anti-rabbit IgG H&L (HRP) was used as the secondary antibody. Hematoxylin was used as a counterstain. Positive staining on stromal cells of mouse lung.

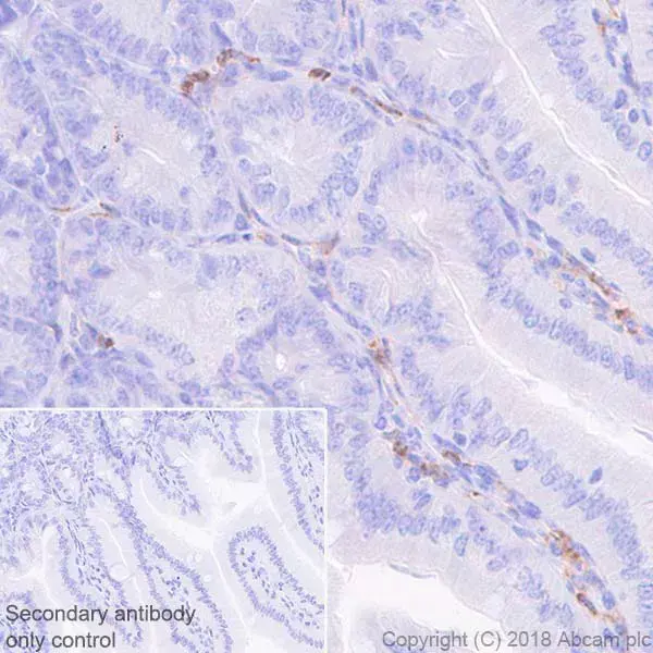
Immunohistochemistry (Formalin/PFA-fixed paraffin-embedded sections) - Anti-CD11b antibody [EPR1344] (ab133357)
ab133357 staining CD11b in paraffin embedded Mouse colon tissue sections by Immunohistochemistry. Heat mediated antigen retrieval was performed using ab93684 (Tris/EDTA buffer, pH 9.0). Samples were incubated with primary antibody at 1/4000 dilution (0.031 μg/ml). A ready to use Goat Anti-rabbit IgG H&L (HRP) was used as the secondary antibody. Hematoxylin was used as a counterstain. Positive staining on stromal cells of mouse colon.

Immunohistochemistry (Formalin/PFA-fixed paraffin-embedded sections) - Anti-CD11b antibody [EPR1344] (ab133357)
ab133357 staining CD11b in paraffin embedded Rat cerebrum tissue sections by Immunohistochemistry. Heat mediated antigen retrieval was performed using ab93684 (Tris/EDTA buffer, pH 9.0). Samples were incubated with primary antibody at 1/4000 dilution (0.29 μg/ml). A ready to use Goat Anti-rabbit IgG H&L (HRP) was used as the secondary antibody. Hematoxylin was used as a counterstain. Positive staining on gliocytes of rat cerebrum [PMID: 20483006].
