Immunocytochemistry/ Immunofluorescence - Anti-Androgen Receptor antibody [EPR1535(2)] (ab133273)
Texas red (Tx-Red) indirect immunofluorescent detection of Androgen Receptor using ab133273 in (A) EP156T-AR, (B) 957E/hTERT-AR and (C) LNCaP cells. The cells were treated with ± 1 nM R1881 for 24 hours.
Image from Azeem W et al., PLoS One. 2017;12(6):e0177861. Fig 6.; doi: 10.1371/journal.pone.0177861. Reproduced under the Creative Commons license http://creativecommons.org/licenses/by/4.0/

Western blot - Anti-Androgen Receptor antibody [EPR1535(2)] (ab133273)
Blocking/Diluting buffer: 5% NFDM/TBST
Loading Control: Rabbit monoclonal [EPR16891] to GAPDH (ab181602)
All lanes: Western blot - Anti-Androgen Receptor antibody [EPR1535(2)] (ab133273) at 1/1000 dilution
Lane 1: Mouse testis lysate at 20 µg
Lane 2: Rat testis lysate at 20 µg
Lane 3: Mouse liver lysate at 20 µg
Lane 4: Rat liver lysate at 20 µg
Secondary
All lanes: Western blot - Goat Anti-Rabbit IgG H&L (HRP) (ab97051) at 1/20000 dilution
Predicted band size: 99 kDa
Observed band size: 110 kDa
Exposure time: 20s
Blocking/Diluting buffer: 5% NFDM/TBST
Loading Control: Rabbit monoclonal [EPR16891] to GAPDH (ab181602)
This data was developed using the same antibody clone in a different buffer formulation containing PBS, BSA, glycerol, and sodium azide (ab133273).
![Western blot of Androgen Receptor antibody [EPR1535(2)] (ab133273) at 1/1000 dilution.](./media_1d121c57a75c5e6d8cdbc78c57f72026b5212326a.avif?width=750&format=avif&optimize=medium)
Western blot - Anti-Androgen Receptor antibody [EPR1535(2)] (ab133273)
Blocking and diluting buffer: 5% NFDM/TBST
All lanes: Western blot - Anti-Androgen Receptor antibody [EPR1535(2)] (ab133273) at 1/5000 dilution
All lanes: Mouse prostate lysates at 15 µg
Secondary
All lanes: Western blot - Goat Anti-Rabbit IgG H&L (HRP) (ab97051) at 1/20000 dilution
Predicted band size: 99 kDa

Immunohistochemistry (Formalin/PFA-fixed paraffin-embedded sections) - Anti-Androgen Receptor antibody [EPR1535(2)] (ab133273)
Formalin-fixed, paraffin-embedded tissues labeling Androgen Receptor with ab133273. Left: Tumor from orthotopic injectionof PTEN KD/TE cells. Right: Human postate cancer tissue.
From Figure 3 of Shao et al/
Shao et al Oncotarget. 2018 Mar 6; 9(18): 14456–14471.Published online 2018 Feb 12. doi: 10.18632/oncotarget.24470
Reproduced under the terms of the Creative Commons Attribution License 3.0 (CC BY 3.0).
shao et al Oncotarget. 2018 Mar 6; 9(18): 14456–14471. Published online 2018 Feb 12. doi: 10.18632/oncotarget.24470

Immunocytochemistry/ Immunofluorescence - Anti-Androgen Receptor antibody [EPR1535(2)] (ab133273)
Immunocytochemistry/ Immunofluorescence analysis of MCF7 (Human breast adenocarcinoma epithelial cell) cells labeling Androgen receptor with purified ab133273 at 1:100 dilution (1.3μg/ml). Cells were fixed in 4% Paraformaldehyde and permeabilized with 0.1% tritonX-100. Cells were counterstained with ab195889 Anti-alpha Tubulin antibody [DM1A] - Microtubule Marker (Alexa Fluor® 594) 1:200 (2.5 μg/ml). ab150077 Goat anti rabbit IgG(Alexa Fluor® 488) was used as the secondary antibody at 1:1000 dilution. DAPI nuclear counterstain. PBS instead of the primary antibody was used as the secondary antibody only control.

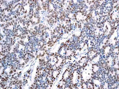
Immunohistochemistry (Formalin/PFA-fixed paraffin-embedded sections) - Anti-Androgen Receptor antibody [EPR1535(2)] (ab133273)
Immunohistochemical analysis of paraffin-embedded human prostatic adenocarcinoma tissue labelling Androgen Receptor using unpurified ab133273 at 1/100 dilution.
Perform heat mediated antigen retrieval with citrate buffer pH 6 before commencing with IHC staining protocol.
