JavaScript is disabled in your browser. Please enable JavaScript to view this website.

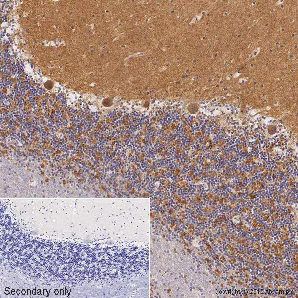
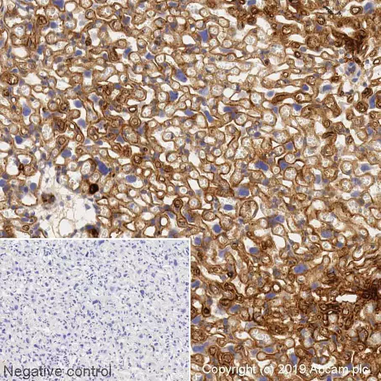
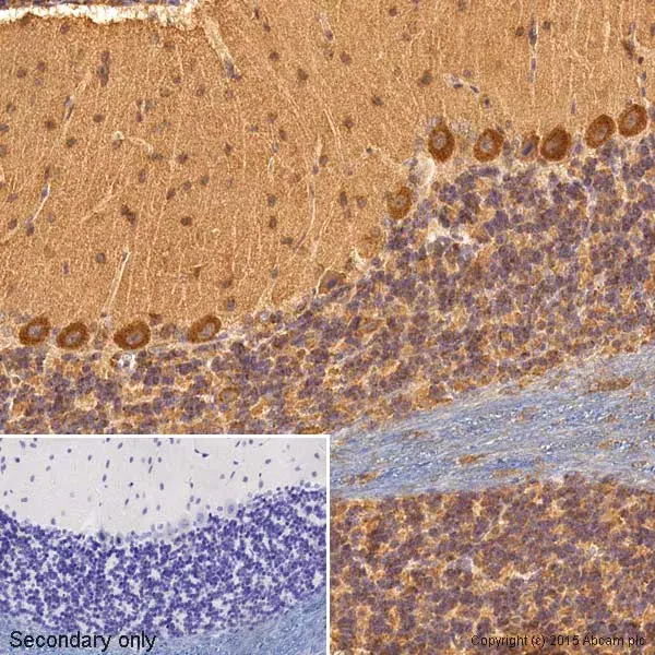
Anti-VEGFA antibody [VG-1](AB1316)

$undefined

Anti-VEGFA antibody [VG-1](AB1316)

Anti-VEGFA antibody [VG-1](AB1316)

Anti-VEGFA antibody [VG-1](AB1316)

Anti-VEGFA antibody [VG-1](AB1316)

Anti-VEGFA antibody [VG-1](AB1316)

Mouse Monoclonal VEGFA antibody. Suitable for IHC-P and reacts with Human, Mouse, Rat samples. Cited in 383 publications.
Specifications
Shipped At Conditions Blue Ice
Appropriate Long term Storage Conditions Store at -20°C.
Clonality Monoclonal
Applications IHC-P
Species Reactivity Cow, Human, Mouse, Rat
Isotype IgG1