JavaScript is disabled in your browser. Please enable JavaScript to view this website.

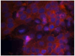
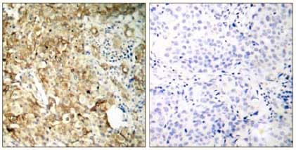
Anti-IGF1 Receptor antibody(AB131476)

$undefined

Anti-IGF1 Receptor antibody(AB131476)

Anti-IGF1 Receptor antibody(AB131476)

Anti-IGF1 Receptor antibody(AB131476)

Rabbit Polyclonal IGF1 Receptor antibody. Suitable for WB, IHC-P, ICC/IF and reacts with Human samples. Cited in 19 publications. Immunogen corresponding to Synthetic Peptide within Human IGF1R aa 1150-1200 conjugated to Keyhole Limpet Haemocyanin.
Specifications
Shipped At Conditions Blue Ice
Appropriate Long term Storage Conditions Store at -20°C.
Clonality Polyclonal
Applications ICC/IF, IHC-P, WB
Species Reactivity Human
Isotype IgG