JavaScript is disabled in your browser. Please enable JavaScript to view this website.

Anti-Neutrophil Elastase antibody [EPR7479](AB131260)

$undefined

Anti-Neutrophil Elastase antibody [EPR7479](AB131260)

Anti-Neutrophil Elastase antibody [EPR7479](AB131260)

Anti-Neutrophil Elastase antibody [EPR7479](AB131260)

Anti-Neutrophil Elastase antibody [EPR7479](AB131260)

Anti-Neutrophil Elastase antibody [EPR7479](AB131260)

Anti-Neutrophil Elastase antibody [EPR7479](AB131260)

Anti-Neutrophil Elastase antibody [EPR7479](AB131260)

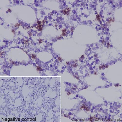
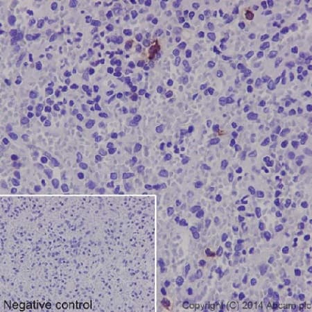
Anti-Neutrophil Elastase antibody [EPR7479] ab131260 is a rabbit monoclonal antibody that is used in Neutrophil Elastase western blotting, IHC, immunofluorescence and flow cytometry. Suitable for human samples.

- Recombinant format for unrivaled batch-batch consistency: no need for same-lot requests
- Antibody clone EPR7479 is the most widely used clone for Neutrophil Elastase on the market and is cited in >40 publications
- Specificity and sensitivity confirmed in IHC with multi-tissue microarray (TMA) validation
- One antibody for all your Neutrophil Elastase staining, use in Neutrophil Elastase western blotting, IHC, immunofluorescence and flow cytometry
Specifications
Shipped At Conditions Blue Ice
Appropriate Long term Storage Conditions Store at -20°C.
Clonality Monoclonal
Applications Flow Cyt (Intra), ICC/IF, IHC-P, WB
Species Reactivity Human
Isotype IgG