JavaScript is disabled in your browser. Please enable JavaScript to view this website.

Anti-Peptide YY/PYY antibody(AB131246)

$undefined

Anti-Peptide YY/PYY antibody(AB131246)

Anti-Peptide YY/PYY antibody(AB131246)

Anti-Peptide YY/PYY antibody(AB131246)

Anti-Peptide YY/PYY antibody(AB131246)

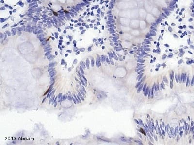
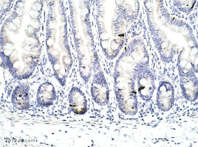
Rabbit Polyclonal Peptide YY/PYY antibody. Suitable for IHC-P and reacts with Rat, Human, Common marmoset samples. Cited in 3 publications.
Specifications
Shipped At Conditions Blue Ice
Appropriate Long term Storage Conditions Store at -20°C.
Clonality Polyclonal
Applications IHC-P
Species Reactivity Common marmoset, Human, Rat
Isotype IgG