JavaScript is disabled in your browser. Please enable JavaScript to view this website.

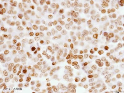
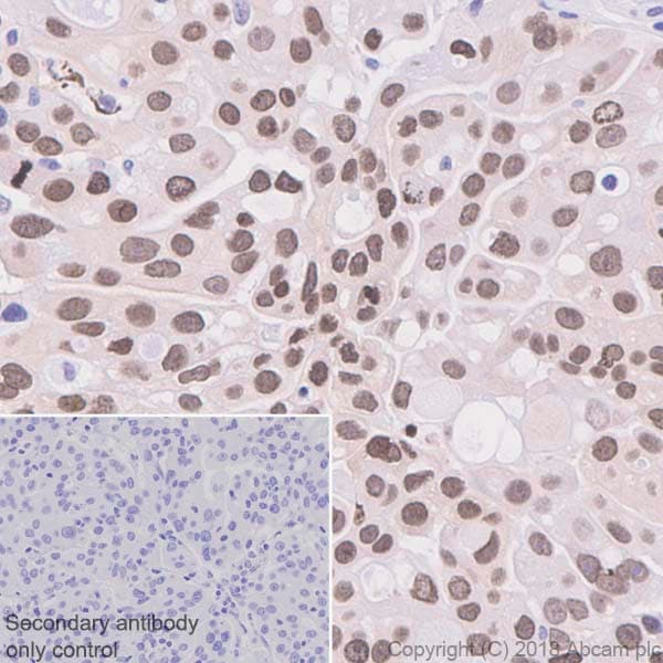
Anti-BANF1/BAF antibody [EPR7668](AB129184)

$undefined

Anti-BANF1/BAF antibody [EPR7668](AB129184)

Anti-BANF1/BAF antibody [EPR7668](AB129184)

Anti-BANF1/BAF antibody [EPR7668](AB129184)

Anti-BANF1/BAF antibody [EPR7668](AB129184)

Anti-BANF1/BAF antibody [EPR7668](AB129184)

Anti-BANF1/BAF antibody [EPR7668](AB129184)

Anti-BANF1/BAF antibody [EPR7668](AB129184)

Anti-BANF1/BAF antibody [EPR7668](AB129184)

Anti-BANF1/BAF antibody [EPR7668](AB129184)

Anti-BANF1/BAF antibody [EPR7668](AB129184)

Anti-BANF1/BAF antibody [EPR7668](AB129184)

Rabbit Recombinant Monoclonal BANF1/BAF antibody. Suitable for IHC-P, WB, ICC/IF, Flow Cyt (Intra) and reacts with Human, Dog, Mouse samples. Cited in 12 publications.
Specifications
Shipped At Conditions Blue Ice
Appropriate Long term Storage Conditions Store at -20°C.
Clonality Monoclonal
Applications Dog, Human, Mouse
Species Reactivity Flow Cyt (Intra), ICC/IF, IHC-P, IP, WB
Isotype IgG