JavaScript is disabled in your browser. Please enable JavaScript to view this website.

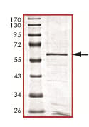
Recombinant human PPP1A/PPP1CA protein(AB128559)

$undefined

Recombinant human PPP1A/PPP1CA protein(AB128559)

Recombinant human PPP1A/PPP1CA protein is a Human Full Length protein, in the 1 to 330 aa range, expressed in Baculovirus infected Sf9, with >75% purity and suitable for WB, Phosphatase Activity.
Specifications
Shipped At Conditions Dry Ice
Appropriate Long term Storage Conditions Store at -80°C.
Applications Phosphatase Activity, WB