JavaScript is disabled in your browser. Please enable JavaScript to view this website.

Anti-CYP1A1 antibody(AB126887)

$undefined

Anti-CYP1A1 antibody(AB126887)

Anti-CYP1A1 antibody(AB126887)

Anti-CYP1A1 antibody(AB126887)

Anti-CYP1A1 antibody(AB126887)

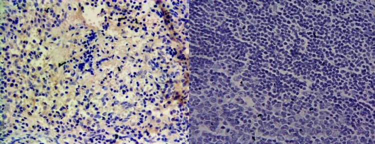
Goat Polyclonal CYP1A1 antibody. Suitable for WB, IHC-P, ICC/IF and reacts with Rat, Human, Mouse samples. Cited in 2 publications. Immunogen corresponding to Synthetic Peptide within Mouse Cytochrome P450 1A1 aa 250-350.
Specifications
Shipped At Conditions Blue Ice
Appropriate Long term Storage Conditions Store at -20°C.
Clonality Polyclonal
Applications Human, Mouse, Rat
Species Reactivity ICC/IF, IHC-P, WB
Isotype IgG