Western blot - Anti-Glutathione Peroxidase 4 antibody [EPNCIR144] (ab125066)
Lanes 1 - 3: Merged signal (red and green). Green - ab125066 observed at 20 kDa. Red - loading control ab8245 (Mouse anti-GAPDH antibody [6C5]) observed at 37 kDa.
ab125066 was shown to react with Glutathione Peroxidase 4 in wild-type HeLa cells in Western blot with loss of signal observed in GPX4 knockout cell line ab262509 (knockout cell lysate ab263935). Wild-type HeLa and GPX4 knockout cell lysates were subjected to SDS-PAGE. Membranes were blocked in 3 % milk in TBS-T (0.1 % Tween®) before incubation with ab125066 and ab8245 (Mouse anti-GAPDH antibody [6C5]) overnight at 4 °C at a 1 in 1000 dilution and a 1 in 20000 dilution respectively. Blots were incubated with Goat anti-Rabbit IgG H&L (IRDye® 800CW) preabsorbed (ab216773) and Goat anti-Mouse IgG H&L (IRDye® 680RD) preabsorbed (ab216776) secondary antibodies at 1 in 20000 dilution for 1 h at room temperature before imaging.
All lanes: Western blot - Anti-Glutathione Peroxidase 4 antibody [EPNCIR144] (ab125066) at 1/1000 dilution
Lane 1: Wild-type HeLa (Human epithelial cell line from cervix adenocarcinoma) whole cell lysate at 20 µg
Lane 2: GPX4 knockout HeLa (Human epithelial cell line from cervix adenocarcinoma) whole cell lysate at 20 µg
Lane 3: Jurkat (Human T cell leukemia cell line from peripheral blood) whole cell lysate at 20 µg
Performed under reducing conditions.
Predicted band size: 22 kDa
Observed band size: 20 kDa
![Merged signal (red and green). Green - ab125066 observed at 20 kDa. Red - loading control ab8245 (Mouse anti-GAPDH antibody [6C5]) observed at 37 kDa.](./media_199abd97973403009c40cc38de7ff078c1ed17690.avif?width=750&format=avif&optimize=medium)
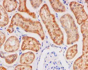
Immunohistochemistry (Formalin/PFA-fixed paraffin-embedded sections) - Anti-Glutathione Peroxidase 4 antibody [EPNCIR144] (ab125066)
Unpurified ab125066, at a 1/100 dilution, staining Glutathione Peroxidase 4 in paraffin-embedded human kidney tissue by immunohistochemistry.
Perform heat mediated antigen retrieval before commencing with IHC staining protocol.

Immunocytochemistry/ Immunofluorescence - Anti-Glutathione Peroxidase 4 antibody [EPNCIR144] (ab125066)
Immunofluorescence staining of HEK293 cells with purified ab125066 at a working dilution of 1/200, counter-stained with DAPI. The secondary antibody was Alexa Fluor® 488 goat anti-rabbit (ab150077), used at a dilution of 1/1000. ab7291, a mouse anti-tubulin antibody (1/1000), was used to stain tubulin along with ab150120 (Alexa Fluor® 594 goat anti-mouse, 1/1000), shown in the top right hand panel. The cells were fixed in 4% PFA and permeabilized using 0.1% Triton X 100. The negative controls are shown in bottom middle and right hand panels - for negative control 1, purified ab125066 was used at a dilution of 1/500 followed by an Alexa Fluor® 594 goat anti-mouse antibody (ab150120) at a dilution of 1/500. For negative control 2, ab7291 (mouse anti-tubulin) was used at a dilution of 1/500 followed by an Alexa Fluor® 488 goat anti-rabbit antibody (ab150077) at a dilution of 1/400.

Flow Cytometry (Intracellular) - Anti-Glutathione Peroxidase 4 antibody [EPNCIR144] (ab125066)
Intracellular Flow Cytometry analysis of HeLa (human cervix adenocarcinoma) cells labeling Glutathione Peroxidase 4 (red) with ab125066 at a 1/400 dilution. Cells were fixed with 4% paraformaldehyde and permeabilized with 90% methanol. A goat anti-rabbit IgG (Alexa Fluorr® 488) (ab150077) was used as the secondary antibody at a 1/2000 dilution. Black - Rabbit monoclonal IgG (ab172730). Blue (unlabeled control) - Cells without incubation with the primary and secondary antibodies.

Western blot - Anti-Glutathione Peroxidase 4 antibody [EPNCIR144] (ab125066)
Blocking buffer: 5% NFDM/TBST.
Dilution buffer: 5% NFDM/TBST.
All lanes: Western blot - Anti-Glutathione Peroxidase 4 antibody [EPNCIR144] (ab125066) at 1/20000 dilution
Lane 1: Mouse testis lysate at 20 µg
Lane 2: Rat testis lysate at 20 µg
Secondary
All lanes: HRP goat anti-rabbit IgG (H+L) at 1/1000 dilution
Predicted band size: 22 kDa
Observed band size: 17 kDa
![Western blot - Anti-Glutathione Peroxidase 4 antibody [EPNCIR144] (ab125066) at 1/20000 dilution. Blocking buffer: 5% NFDM/TBST. Dilution buffer: 5% NFDM/TBST.](./media_1835cea76366c6fed653e180e5c84bf940d6eff26.avif?width=750&format=avif&optimize=medium)