Immunocytochemistry/ Immunofluorescence - Anti-alpha smooth muscle Actin antibody [EPR5368] (ab124964)
ab124964 staining alpha smooth muscle Actin in SV40LT-SMC cells (positive control, top panel) and A431 cells (negative control, bottom panel). The cells were fixed with 100% methanol (5 min) then permeabilized with 0.1% Triton X-100 for 5 minutes and then blocked with 1% BSA/10% normal goat serum/0.3M glycine in 0.1% PBS-Tween for 1h. The cells were then incubated with ab124964 at 0.5μg/ml concentration and ab7291 (Mouse monoclonal to alpha Tubulin) at 1/1000 dilution overnight at 4°C followed by a further incubation at room temperature for 1h with a goat secondary antibody to rabbit IgG (Alexa Fluor® 488) (ab150081) at 2 μg/ml (shown in green) and a goat secondary antibody to mouse IgG (Alexa Fluor® 594) (ab150120) at 2 μg/ml (shown in red). Nuclear DNA was labelled in blue with DAPI.
Image was taken with a confocal microscope (Leica-Microsystems TCS SP8).

Immunohistochemistry (Formalin/PFA-fixed paraffin-embedded sections) - Anti-alpha smooth muscle Actin antibody [EPR5368] (ab124964)
Immunohistochemistry (Formalin/PFA-fixed paraffin-embedded sections) analysis of mouse stomach tissue labelling alpha smooth muscl Actin with ab124964 at 1/1000. Heat mediated antigen retrieval was performed using Tris/EDTA buffer pH 9. A prediluted HRP-polymer conjugated anti-rabbit IgG was used as the secondary antibody. Counterstained with Hematoxylin.
Positive staining on smooth muscle in mouse stomach.

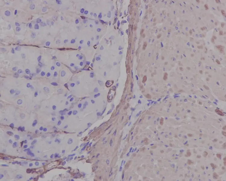
Immunohistochemistry (Formalin/PFA-fixed paraffin-embedded sections) - Anti-alpha smooth muscle Actin antibody [EPR5368] (ab124964)
Immunohistochemistry (Formalin/PFA-fixed paraffin-embedded sections) analysis of human stomach tissue labelling alpha smooth muscl Actin with purified ab124964 at 1/1000. Heat mediated antigen retrieval was performed using Tris/EDTA buffer pH 9. A prediluted HRP-polymer conjugated anti-rabbit IgG was used as the secondary antibody. Negative control using PBS instead of primary antibody. Counterstained with Hematoxylin.

Immunocytochemistry/ Immunofluorescence - Anti-alpha smooth muscle Actin antibody [EPR5368] (ab124964)
ab124964 staining alpha smooth muscle Actin in wild-type HeLa cells (top panel) and ACTA2 knockout HeLa cells (bottom panel). The cells were fixed with 100% methanol (5 min) then permeabilized with 0.1% Triton X-100 for 5 minutes and then blocked with 1% BSA/10% normal goat serum/0.3M glycine in 0.1% PBS-Tween for 1h. The cells were then incubated with ab124964 at 1/500 dilution and ab7291 (Mouse monoclonal to alpha Tubulin) at 1/1000 dilution overnight at 4°C followed by a further incubation at room temperature for 1h with a goat secondary antibody to rabbit IgG (Alexa Fluor® 488) (ab150081) at 2 μg/ml (shown in green) and a goat secondary antibody to mouse IgG (Alexa Fluor® 594) (ab150120) at 2 μg/ml (shown in red). Nuclear DNA was labelled in blue with DAPI.
Image was taken with a confocal microscope (Leica-Microsystems TCS SP8).

Western blot - Anti-alpha smooth muscle Actin antibody [EPR5368] (ab124964)
Lanes 1 - 2: Merged signal (red and green). Green - ab124964 observed at 42 kDa. Red - loading control, ab7291 (Mouse anti-Alpha Tubulin [DM1A]) observed at 55kDa.
ab124964 was shown to react with alpha smooth muscle Actin in wild-type HeLa cells in western blot. Loss of signal was observed when ACTA2 knockout sample was used. Wild-type HeLa and ACTA2 knockout cell lysates were subjected to SDS-PAGE. Membranes were blocked in 3% milk in TBS-T (0.1% Tween®) before incubation with ab124964 and ab7291 (Mouse anti-Alpha Tubulin [DM1A]) overnight at 4°C at a 1 in 10000 Dilution and a 1 in 20000 dilution respectively. Blots were incubated with Goat anti-Rabbit IgG H&L (IRDye® 800CW) preabsorbed (ab216773) and Goat anti-Mouse IgG H&L (IRDye® 680RD) preabsorbed (ab216776) secondary antibodies at 1 in 20000 dilution for 1 hour at room temperature before imaging.
All lanes: Western blot - Anti-alpha smooth muscle Actin antibody [EPR5368] (ab124964) at 1/10000 dilution
Lane 1: Wild-type HeLa (Human epithelial cell line from cervix adenocarcinoma) whole cell lysate at 20 µg
Lane 2: ACTA2 knockout HeLa (Human epithelial cell line from cervix adenocarcinoma) whole cell lysate at 20 µg
Performed under reducing conditions.
Predicted band size: 42 kDa
Observed band size: 42 kDa
![Merged signal (red and green). Green - ab124964 observed at 42 kDa. Red - loading control, ab7291 (Mouse anti-Alpha Tubulin [DM1A]) observed at 55kDa.](./media_10bf11464a8e9f0e1ca3893f1097dc4e7d1ce176a.avif?width=750&format=avif&optimize=medium)