JavaScript is disabled in your browser. Please enable JavaScript to view this website.

Anti-CXCR4 antibody [UMB2](AB124824)

$undefined

Anti-CXCR4 antibody [UMB2](AB124824)

Anti-CXCR4 antibody [UMB2](AB124824)

Anti-CXCR4 antibody [UMB2](AB124824)

Anti-CXCR4 antibody [UMB2](AB124824)

Anti-CXCR4 antibody [UMB2](AB124824)

Anti-CXCR4 antibody [UMB2](AB124824)

Anti-CXCR4 antibody [UMB2](AB124824)

Anti-CXCR4 antibody [UMB2](AB124824)

Anti-CXCR4 antibody [UMB2](AB124824)

Anti-CXCR4 antibody [UMB2](AB124824)

Anti-CXCR4 antibody [UMB2](AB124824)

Anti-CXCR4 antibody [UMB2](AB124824)

Anti-CXCR4 antibody [UMB2](AB124824)

Anti-CXCR4 antibody [UMB2](AB124824)

Anti-CXCR4 antibody [UMB2](AB124824)

Anti-CXCR4 antibody [UMB2](AB124824)

Anti-CXCR4 antibody [UMB2](AB124824)

Anti-CXCR4 antibody [UMB2](AB124824)

Anti-CXCR4 antibody [UMB2](AB124824)

Anti-CXCR4 antibody [UMB2](AB124824)

Anti-CXCR4 antibody [UMB2](AB124824)

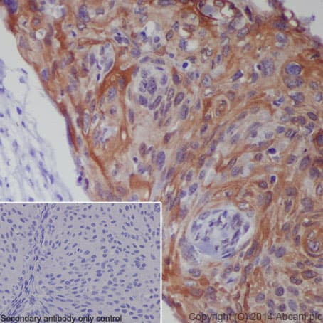
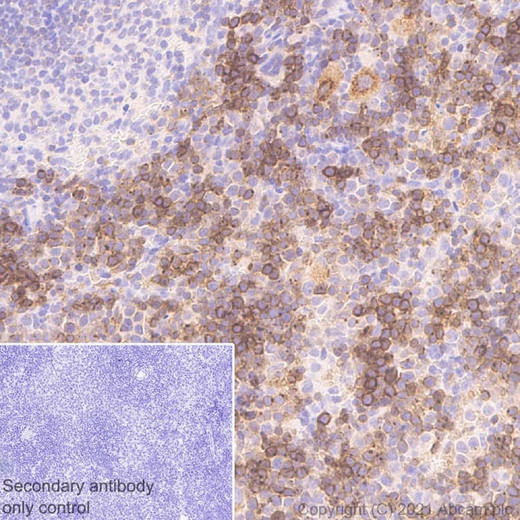
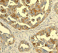
Anti-CXCR4 antibody [UMB2] ab124824 is a rabbit monoclonal antibody that is used in CXCR4 western blotting, IHC, immunofluorescence and flow cytometry. Suitable for human, mouse and rat samples.

- Recombinant format for unrivaled batch-batch consistency: no need for same-lot requests
- Antibody clone UMB2 is cited in over 270 publications
- One antibody for all your CXCR4 staining, use in CXCR4 western blotting, IHC, immunofluorescence and flow cytometry
Specifications
Shipped At Conditions Blue Ice
Appropriate Long term Storage Conditions Store at -20°C.
Clonality Monoclonal
Applications Flow Cyt (Intra), ICC/IF, IHC-Fr, IHC-P, WB
Species Reactivity Human, Mouse, Rat
Isotype IgG