JavaScript is disabled in your browser. Please enable JavaScript to view this website.

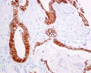
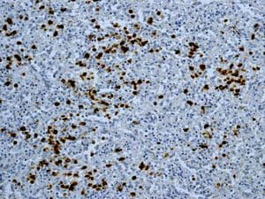
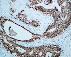
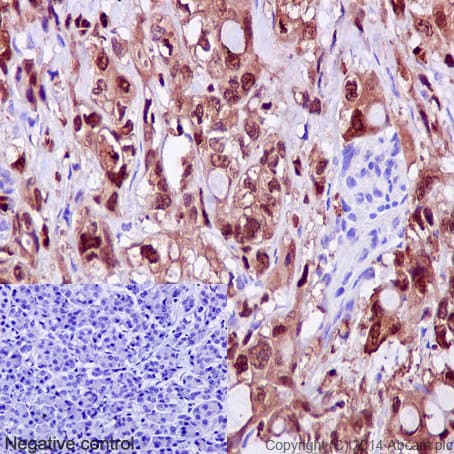
Anti-S100P antibody [EPR6142](AB124743)

$undefined

Anti-S100P antibody [EPR6142](AB124743)

Anti-S100P antibody [EPR6142](AB124743)

Anti-S100P antibody [EPR6142](AB124743)

Anti-S100P antibody [EPR6142](AB124743)

Anti-S100P antibody [EPR6142](AB124743)

Anti-S100P antibody [EPR6142](AB124743)

Anti-S100P antibody [EPR6142](AB124743)

Anti-S100P antibody [EPR6142](AB124743)

Anti-S100P antibody [EPR6142](AB124743)

Anti-S100P antibody [EPR6142](AB124743)

Anti-S100P antibody [EPR6142](AB124743)

Anti-S100P antibody [EPR6142](AB124743)

Rabbit Recombinant Monoclonal S100P antibody. Suitable for IHC-P, WB, ICC/IF, Flow Cyt (Intra) and reacts with Human samples. Cited in 3 publications.
Specifications
Shipped At Conditions Blue Ice
Appropriate Long term Storage Conditions Store at -20°C.
Clonality Monoclonal
Applications Flow Cyt (Intra), ICC/IF, IHC-P, WB
Species Reactivity Human
Isotype IgG