JavaScript is disabled in your browser. Please enable JavaScript to view this website.

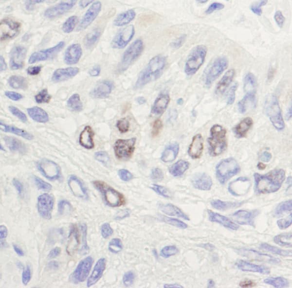
Anti-Topoisomerase II alpha antibody(AB12318)

$undefined

Anti-Topoisomerase II alpha antibody(AB12318)

Anti-Topoisomerase II alpha antibody(AB12318)

Rabbit Polyclonal Topoisomerase II alpha antibody. Suitable for IHC-P, IP and reacts with Human samples. Cited in 15 publications. Immunogen corresponding to Synthetic Peptide within Human DNA topoisomerase 2-alpha.
Specifications
Shipped At Conditions Blue Ice
Appropriate Long term Storage Conditions Store at -20°C.
Clonality Polyclonal
Applications IHC-P, IP
Species Reactivity Human
Isotype IgG