JavaScript is disabled in your browser. Please enable JavaScript to view this website.

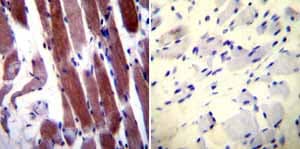
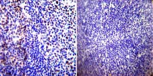
Anti-Parvalbumin antibody(AB11427)

$undefined

Anti-Parvalbumin antibody(AB11427)

Anti-Parvalbumin antibody(AB11427)

Anti-Parvalbumin antibody(AB11427)

Anti-Parvalbumin antibody(AB11427)

Anti-Parvalbumin antibody(AB11427)

Anti-Parvalbumin antibody(AB11427)

Anti-Parvalbumin antibody(AB11427)

Anti-Parvalbumin antibody ab11427 is a rabbit polyclonal antibody that is used in Parvalbumin IHC and immunofluorescence. Suitable for human and rat samples.

- Tried and trusted by researchers since 2004
Specifications
Shipped At Conditions Blue Ice
Appropriate Long term Storage Conditions Store at -20°C.
Clonality Polyclonal
Applications ICC/IF, IHC-P
Species Reactivity Human, Rat
Isotype IgG