JavaScript is disabled in your browser. Please enable JavaScript to view this website.

Anti-Peptide YY/PYY antibody [1](AB112474)

$undefined

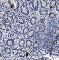
Peptide Yy Pyy Antibody 1 Ab112474  Immunohistochemistry Formalin Pfa Fixed Paraffin Embedded Sections Img55771

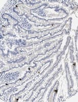
Peptide Yy Pyy Antibody 1 Ab112474  Immunohistochemistry Formalin Pfa Fixed Paraffin Embedded Sections Img56717

Mouse Monoclonal Peptide YY/PYY antibody. Suitable for IHC-P and reacts with Human samples. Immunogen corresponding to Synthetic Peptide within Human Peptide YY.
Specifications
Shipped At Conditions Blue Ice
Appropriate Long term Storage Conditions Store at -20°C.
Clonality Monoclonal
Applications Human
Species Reactivity IHC-P
Isotype IgG1