JavaScript is disabled in your browser. Please enable JavaScript to view this website.

Anti-CaMKII alpha antibody(AB111890)

$undefined

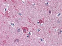
Camkii Alpha Antibody Ab111890  Immunohistochemistry Formalin Pfa Fixed Paraffin Embedded Sections Img104626

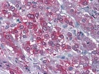
Camkii Alpha Antibody Ab111890  Immunohistochemistry Formalin Pfa Fixed Paraffin Embedded Sections Img32636

Camkii Alpha Antibody Ab111890  Western Blot Img99713

Goat Polyclonal KCC2A antibody. Suitable for IHC-P, WB and reacts with Human, Mouse samples. Cited in 1 publication. Immunogen corresponding to Synthetic Peptide within Human Calcium/calmodulin-dependent protein kinase type II subunit alpha.
Specifications
Shipped At Conditions Blue Ice
Appropriate Long term Storage Conditions Store at -20°C.
Clonality Polyclonal
Applications IHC-P, WB
Species Reactivity Human, Mouse
Isotype IgG