JavaScript is disabled in your browser. Please enable JavaScript to view this website.

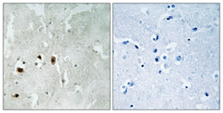
Anti-KAT5 / Tip60 (phospho S90) antibody(AB111588)

$undefined

Anti-KAT5 / Tip60 (phospho S90) antibody(AB111588)

Rabbit Polyclonal KAT5 / Tip60 phospho S90 antibody. Suitable for IHC-P and reacts with Human samples. Immunogen corresponding to Synthetic Peptide within Human KAT5 phospho S90.
Specifications
Shipped At Conditions Blue Ice
Appropriate Long term Storage Conditions Store at -20°C.
Clonality Polyclonal
Applications IHC-P
Species Reactivity Human
Isotype IgG