JavaScript is disabled in your browser. Please enable JavaScript to view this website.

Anti-F4/80 antibody [SP115](AB111101)

$undefined

Anti-F4/80 antibody [SP115](AB111101)

Anti-F4/80 antibody [SP115](AB111101)

Anti-F4/80 antibody [SP115](AB111101)

Anti-F4/80 antibody [SP115](AB111101)

Anti-F4/80 antibody [SP115](AB111101)

Anti-F4/80 antibody [SP115](AB111101)

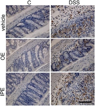
Anti-F4/80 antibody [SP115] ab111101 is a rabbit monoclonal antibody that is used in F4/80 IHC. Suitable for mouse samples

- Recombinant format for unrivaled batch-batch consistency: no need for same-lot requests
- Specificity and sensitivity confirmed in IHC with multi-tissue microarray (TMA) validation
- Antibody clone SP115 is cited in over 210 publications
New 20 ul size available
Specifications
Shipped At Conditions Blue Ice
Appropriate Long term Storage Conditions Store at -20°C.
Clonality Monoclonal
Applications Flow Cyt, IHC-P
Species Reactivity Mouse
Isotype IgG