Western blot - Anti-BRG1 antibody [EPNCIR111A] (ab110641)
False colour image of Western blot: Anti-BRG1 antibody [EPNCIR111A] staining at 1/1000 dilution, shown in green; Mouse anti-Alpha Tubulin [DM1A] (ab7291) loading control staining at 1/20000 dilution, shown in red. In Western blot, ab110641 was shown to bind specifically to BRG1. A band was observed at 185 kDa in wild-type HEK-293T cell lysates with no signal observed at this size in SMARCA4 knockout cell line ab255432 (knockout cell lysate ab263853). To generate this image, wild-type and SMARCA4 knockout HEK-293T cell lysates were analysed. First, samples were run on an SDS-PAGE gel then transferred onto a nitrocellulose membrane. Membranes were blocked in 3 % milk in TBS-0.1 % Tween® 20 (TBS-T) before incubation with primary antibodies overnight at 4 °C. Blots were washed four times in TBS-T, incubated with secondary antibodies for 1 h at room temperature, washed again four times then imaged. Secondary antibodies used were Goat anti-Rabbit IgG H&L (IRDye® 800CW) preabsorbed (ab216773) and Goat anti-Mouse IgG H&L (IRDye® 680RD) preabsorbed (ab216776) at 1/20000 dilution.
All lanes: Western blot - Anti-BRG1 antibody [EPNCIR111A] (ab110641) at 1/1000 dilution
Lane 1: Wild-type HEK-293T cell lysate at 20 µg
Lane 2: SMARCA4 knockout HEK-293T cell lysate at 20 µg
Performed under reducing conditions.
Predicted band size: 185 kDa
Observed band size: 185 kDa

Western blot - Anti-BRG1 antibody [EPNCIR111A] (ab110641)
Lanes 1- 2: Merged signal (red and green). Green - ab110641 observed at 185 kDa. Red - Anti-alpha Tubulin antibody [DM1A] - Loading Control (ab7291) observed at 50 kDa.
ab110641 was shown to react with SMARCA4 in wild-type HEK-293T cells in western blot. Loss of signal was observed when knockout cell line ab255432 (knockout cell lysate ab263853) was used. Wild-type HEK-293T and SMARCA4 knockout HEK-293T cell lysates were subjected to SDS-PAGE. Membrane was blocked for 1 hour at room temperature in 0.1% TBST with 3% non-fat dried milk. ab110641 and Anti-alpha Tubulin antibody [DM1A] - Loading Control (ab7291) overnight at 4°C at a 1 in 10000 dilution and a 1 in 20000 dilution respectively. Blots were developed with Goat anti-Rabbit IgG H&L (IRDye®800CW) preadsorbed (ab216773) and Goat anti-Mouse IgG H&L (IRDye®680RD) preadsorbed (ab216776) secondary antibodies at 1 in 20000 dilution for 1 hour at room temperature before imaging.
All lanes: Western blot - Anti-BRG1 antibody [EPNCIR111A] (ab110641) at 1/10000 dilution
Lane 1: Wild-type HEK-293T cell lysate at 20 µg
Lane 2: SMARCA4 knockout HEK-293T cell lysate at 20 µg
Performed under reducing conditions.
Predicted band siz e: 185 kDa
Observed band size: 185 kDa

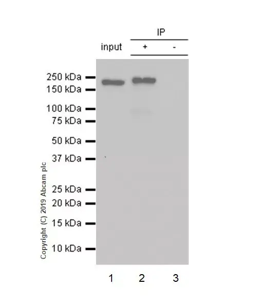
Immunoprecipitation - Anti-BRG1 antibody [EPNCIR111A] (ab110641)
BRG1 was immunoprecipitated from 0.35 mg HeLa (Human cervix adenocarcinoma epithelial cell) whole cell lysate 10μg with ab110641 at 1:20 dilution (0.3μg in 0.35mg lysates). Western blot was performed on the immunoprecipitate using ab110641 1:1000 dilution (0.12 μg/ml). VeriBlot for IP Detection Reagent (HRP) (ab131366) was used as the secondary antibody at 1:1000 dilution.
Lane 1: HeLa (Human cervix adenocarcinoma epithelial cell) whole cell lysate 10μg
Lane 2: ab110641 IP in HeLa whole cell lysate
Lane 3: Rabbit monoclonal IgG (ab172730) instead of ab110641 in HeLa whole cell lysate.
Blocking and dilution buffer and concentration: 5% NFDM/TBST.
Exposure time: 1 second
All lanes: Immunoprecipitation - Anti-BRG1 antibody [EPNCIR111A] (ab110641)
Predicted band size: 185 kDa
Observed band size: 185 kDa

Immunocytochemistry/ Immunofluorescence - Anti-BRG1 antibody [EPNCIR111A] (ab110641)
ab110641 staining BRG1 in HeLa cells. The cells were fixed with 4% formaldehyde (10min), permeabilized with 0.1% Triton X-100 for 5 minutes and then blocked with 1% BSA/10% normal goat serum/0.3M glycine in 0.1% PBS-Tween for 1h. The cells were then incubated with ab110641 at 1/500 dilution and ab195889 (Mouse monoclonal [DM1A] to alpha Tubulin - Microtubule Marker (Alexa Fluor® 594)) at 1/250 dilution overnight at +4°C, followed by a further incubation at room temperature for 1h with ab150081 (Goat polyclonal Secondary Antibody to Rabbit IgG - H&L (Alexa Fluor® 488)) at 2 μg/ml (shown in green). Nuclear DNA was labelled in blue with DAPI.
Image was taken with a confocal microscope (Leica-Microsystems, TCS SP8).

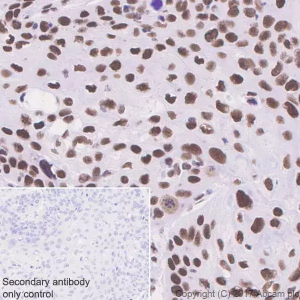
Immunohistochemistry (Formalin/PFA-fixed paraffin-embedded sections) - Anti-BRG1 antibody [EPNCIR111A] (ab110641)
Immunohistochemical analysis of paraffin-embedded Human cervical carcinoma tissue labeling BRG1 with ab110641, followed by a ready to use Goat Anti-Rabbit IgG H&L (HRP). Nuclear staining on human cervical carcinoma. Counterstained with Hematoxylin. Heat mediated antigen retrieval using ab93684 (Tris/EDTA buffer, pH 9.0).
Secondary antibody only control: Used PBS instead of primary antibody, secondary antibody is a ready to use Goat Anti-Rabbit IgG H&L (HRP).

Immunohistochemistry (Formalin/PFA-fixed paraffin-embedded sections) - Anti-BRG1 antibody [EPNCIR111A] (ab110641)
Blocking/Diluting buffer and concentration: 5% NFDM/TBST.
Exposure time: Lane 1 to 4: 5 seconds; Lane 5: 15 seconds
All lanes: Western blot - Anti-BRG1 antibody [EPNCIR111A] (ab110641) at 1/10000 dilution
Lane 1: HeLa (Human cervix adenocarcinoma epithelial cell) whole cell lysates at 20 µg
Lane 2: NIH/3T3 (Mouse embryonic fibroblast) whole cell lysates at 20 µg
Lane 3: RAW 264.7(Mouse Abelson murine leukemia virus-induced tumor macrophage)whole cell lysates at 20 µg
Lane 4: C6 (Rat glial tumor glial cell) whole cell lysates at 20 µg
Lane 5: K-562 (Human chronic myelogenous leukemia lymphoblast) whole cell lysates at 20 µg
Secondary
All lanes: Western blot - Goat Anti-Rabbit IgG H&L (HRP) (ab97051) at 1/20000 dilution
Predicted band size: 110 kDa, 185 kDa
Observed band size: 17 kDa, 185 kDa, 36 kDa
