JavaScript is disabled in your browser. Please enable JavaScript to view this website.

Anti-Pyruvate dehydrogenase E2/E3bp antibody [13G2AE2BH5](AB110333)

$undefined

Anti-Pyruvate dehydrogenase E2/E3bp antibody [13G2AE2BH5](AB110333)

Anti-Pyruvate dehydrogenase E2/E3bp antibody [13G2AE2BH5](AB110333)

Anti-Pyruvate dehydrogenase E2/E3bp antibody [13G2AE2BH5](AB110333)

Anti-Pyruvate dehydrogenase E2/E3bp antibody [13G2AE2BH5](AB110333)

Anti-Pyruvate dehydrogenase E2/E3bp antibody [13G2AE2BH5](AB110333)

Anti-Pyruvate dehydrogenase E2/E3bp antibody [13G2AE2BH5](AB110333)

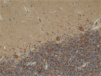
Mouse Monoclonal Pyruvate Dehydrogenase E2 antibody. Suitable for IHC-P, Flow Cyt, WB, ICC/IF and reacts with Human, Rat, Mouse, Cow samples. Cited in 46 publications.
Specifications
Shipped At Conditions Blue Ice
Appropriate Long term Storage Conditions Store at +4°C.