JavaScript is disabled in your browser. Please enable JavaScript to view this website.

Anti-Frataxin antibody [18A5DB1](AB110328)

$undefined

Frataxin Antibody 18a5db1 Ab110328  Flow Cytometry Img177436

Frataxin Antibody 18a5db1 Ab110328  Immunocytochemistry Immunofluorescence Img168581

Frataxin Antibody 18a5db1 Ab110328  Immunocytochemistry Immunofluorescence Img175073

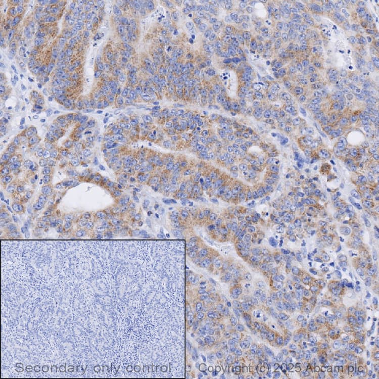
Frataxin Antibody 18a5db1 Ab110328  Immunohistochemistry Formalin Pfa Fixed Paraffin Embedded Sections Img174131

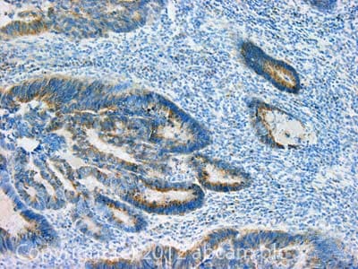
Frataxin Antibody 18a5db1 Ab110328  Immunohistochemistry Formalin Pfa Fixed Paraffin Embedded Sections Img451330

Frataxin Antibody 18a5db1 Ab110328  Western Blot Img175226

Anti-Frataxin antibody [18A5DB1] ab110328 is a mouse monoclonal antibody that is used in Frataxin western blotting, IHC, immunofluorescence and flow cytometry. Suitable for human samples.

- Antibody clone 18A5DB1 is the most widely used clone for Frataxin on the market and is cited in >40 publications
- One antibody for all your Frataxin staining, use in Frataxin western blotting, IHC, immunofluorescence and flow cytometry
Specifications
Shipped At Conditions Blue Ice
Appropriate Long term Storage Conditions Store at +4°C.
Clonality Monoclonal
Applications Flow Cyt, ICC/IF, IHC-P, WB
Species Reactivity Human
Isotype IgG1