JavaScript is disabled in your browser. Please enable JavaScript to view this website.

Anti-Human IgG antibody [EPR4421](AB109489)

$undefined

Anti-Human IgG antibody [EPR4421](AB109489)

Anti-Human IgG antibody [EPR4421](AB109489)

Anti-Human IgG antibody [EPR4421](AB109489)

Anti-Human IgG antibody [EPR4421](AB109489)

Anti-Human IgG antibody [EPR4421](AB109489)

Anti-Human IgG antibody [EPR4421](AB109489)

Anti-Human IgG antibody [EPR4421](AB109489)

Anti-Human IgG antibody [EPR4421](AB109489)

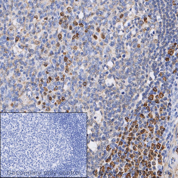
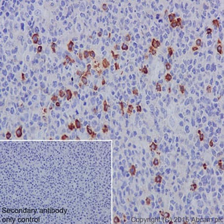
Anti-Human IgG antibody [EPR4421] ab109489 is a rabbit monoclonal antibody that is used in Human IgG western blotting and IHC. Suitable for human samples.

- Recombinant format for unrivaled batch-batch consistency: no need for same-lot requests
- Specificity and sensitivity confirmed in IHC with multi-tissue microarray (TMA) validation
Specifications
Shipped At Conditions Blue Ice
Appropriate Long term Storage Conditions Store at -20°C.
Clonality Monoclonal
Applications Human
Species Reactivity IHC-P, WB
Isotype IgG