JavaScript is disabled in your browser. Please enable JavaScript to view this website.

Anti-mTOR (phospho S2448) antibody [EPR426(2)](AB109268)

$undefined

Anti-mTOR (phospho S2448) antibody [EPR426(2)](AB109268)

Anti-mTOR (phospho S2448) antibody [EPR426(2)](AB109268)

Anti-mTOR (phospho S2448) antibody [EPR426(2)](AB109268)

Anti-mTOR (phospho S2448) antibody [EPR426(2)](AB109268)

Anti-mTOR (phospho S2448) antibody [EPR426(2)](AB109268)

Anti-mTOR (phospho S2448) antibody [EPR426(2)](AB109268)

Anti-mTOR (phospho S2448) antibody [EPR426(2)](AB109268)

Anti-mTOR (phospho S2448) antibody [EPR426(2)](AB109268)

Anti-mTOR (phospho S2448) antibody [EPR426(2)](AB109268)

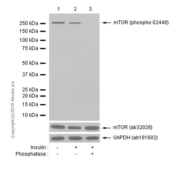
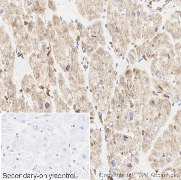
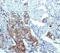
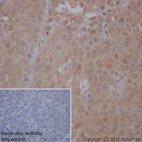
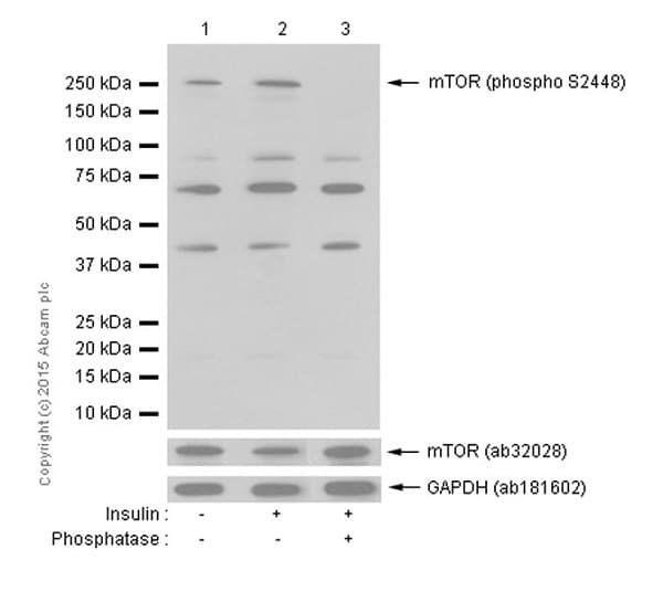
Phospho mTOR antibody pS2448 [EPR426(2)] ab109268 is a rabbit monoclonal antibody that is used in mTOR western blotting and IHC. Suitable for human and mouse samples.

- Recombinant format for unrivaled batch-batch consistency: no need for same-lot requests
- Antibody clone EPR426(2) is cited in over 640 publications
New 20 ul size available
Specifications
Shipped At Conditions Blue Ice
Appropriate Long term Storage Conditions Store at -20°C.
Clonality Monoclonal
Applications Dot, Flow Cyt, ICC/IF, IHC-Fr, IHC-P, IP, WB
Species Reactivity Human, Mouse
Isotype IgG